Kontakt
Standorte
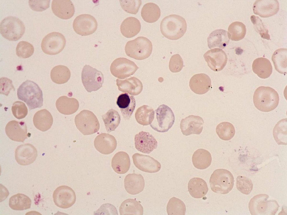
Various and fine intracytoplasmic granules, due to abnormally aggregated ribosomes.
Lead poisoning. Bone marrow regeneration. Dyserythropoïesis.