Kontakt
Standorte
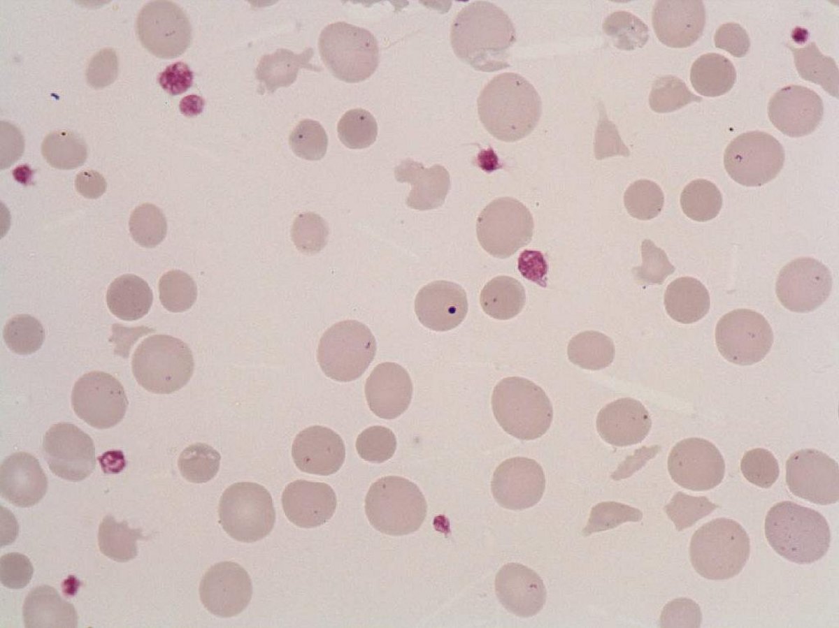
Dark purple intra-erythrocytic corpuscle (MGG staining) of spherical shape.
Hereditary diseases (congenital asplenia). Acquired pathologies (splenectomy, functional asplenia).