Search
English
Corporate
Austria
About
Products
Hematology
Tracking
HELO Solution
Yumizen H2500/H1500
Yumizen SPS
Yumizen T6000
Yumizen P8000
CellaVision
Cube S
Cube ST
Bench top
Yumizen H2500/H1500
Yumizen H500/H550
Pentra 80
Pentra 60
Micros
Yumizen P8000
Yumizen SPS
CellaVision
Yumizen D20
Erythrocyte sedimentation rate (ESR)
Cube S
Cube ST
RAL StainBox
RAL Stainer
Digitalization
CellaVision
Yumizen D20
Peri Analytical
Yumizen T6000
Yumizen P8000
Yumizen SPS
CellaVision
Yumizen D20
Cube S
Cube ST
RAL StainBox
RAL Stainer
POCT
Microsemi CRP LC-767G
Microsemi CRP LC-667G
Reagents
Reagents
Controls & Calibrators
Support
Quality Control Program (QCP)
Remote-connected support - Yumicare
Cytology Atlas - Hematovision
Accreditation Folder (ISO)
Hemostasis
Bench top
Yumizen G1500h/G1550h
Yumizen G800h/G850h
Yumizen G405
Yumizen G200
Reagents
Screening Tests
Fibrin Formation & Degradation
Anticoagulant Monitoring
Factor Deficient Plasmas
Thrombophilia
Support
Quality Control Program (QCP)
Academy
Hemostasis Guide
Clinical Chemistry
Floor standing
Yumizen C560
Bench top
Pentra C400
Pentra C200
Yumizen C240
Yumizen C230
Yumizen E60
Yumizen CA60
Yumizen CA40
Reagents
Support
Quality Control Program (QCP)
Veterinary diagnostics
Support
Accreditation support
Quality Control Program (QCP)
Accreditation Folder (ISO)
Certification
Control & calibrator leaflet
Declaration of conformity
MSDS
Quality control target
Remote-connected support - Yumicare
Technical support
Training
MEDigital - Resources for partners
Webinars
Academy
Articles
Blood Cell Morphology
On-Demand Webinar
Cytology Atlas - Hematovision
Hematopoiesis
Newsletter - Heme Insights
RBC Morphological Abnormalities
Case Studies
Clinical Cases
Hemostasis Guide
Preanalytical Guidelines
Screening Tests
Fibrin Formation & Degradation
Thrombophilia
Covid-19 Markers
Anticoagulant Therapy
Posters
Technology
10 Part Diff
Absorbance
Blood sample mixing
Chromogenic
Clotting method
CRP
Customized Dilution Ratio (CDR)
Double Hydrodynamic Sequential System (DHSS)
Fluorescence - Reticulocyte analysis
Immuno-Turbidimetric method
Impedance
Malaria & Dengue screening
Multi Distribution Sampling System (MDSS)
Potentiometry
Result management
Sedimentation
Slide production
Spectrophotometry
News
Events
News / Press release
Career
Contact
Contact form
Distribution network
Country / Region
Change
Kontakt
Standorte
HORIBA
»
Healthcare
»
Academy
»
Blood Cell Morphology
»
Cytology Atlas - Hematovision
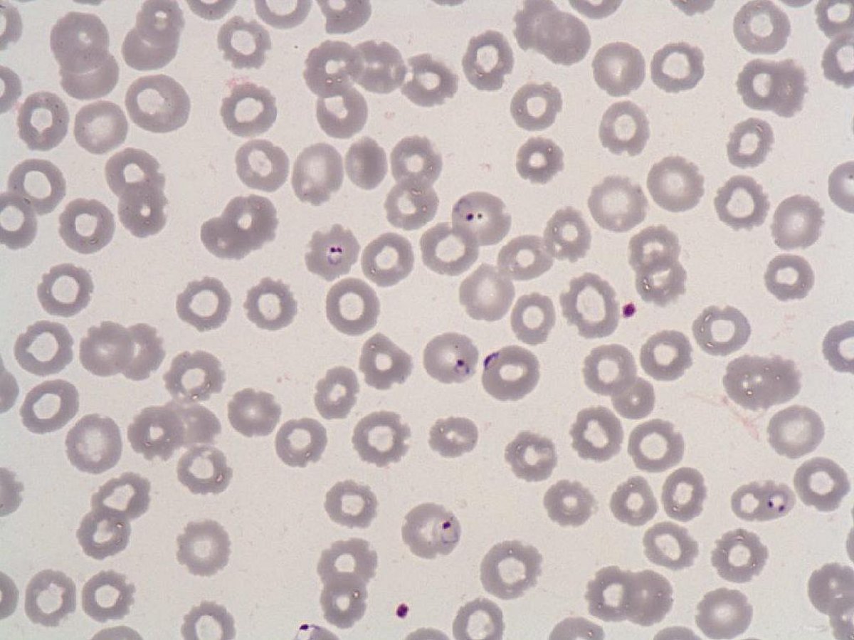
Malaria
Size : N/A
Normal values : Absent in the blood
Description / Pathology :
Intraerythrocytic presence of trophozoites of Plasmodium.
Malaria
Kontakt
Corporate