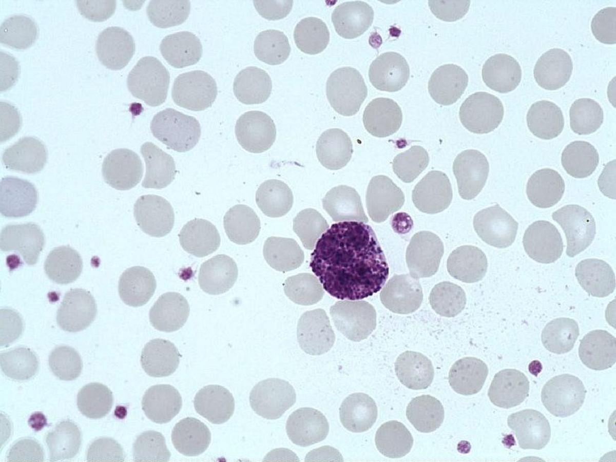
Basophil polymorphonuclear

Basophil_polymorphonuclear
  • Size : Medium, 12-15 µm
  • N/C ratio= Medium, 0.4
  • Cytoplasm
    • Extension : Abundant
    • Basophilia : Absent
    • Number of granules : Numerous
    • Color of granules : Black- dark violet = basophil
    • Membrane : Regular
  • Nucleus
    • Situation : Eccentric
    • Chromatin : Dense
    • Nucleoli : Absent
    • Membrane : Regular
  • Normal values : <0.2 x 10(-9)/L
  • Description / Pathology :

    Round cell of average size, bilobed nucleus with condensed chromatin, no nucleolus, unstained cytoplasm covered by large very irregular basophilic granules.

    Excess of basophils in Chronic Myeloid Leukemia.

Corporate