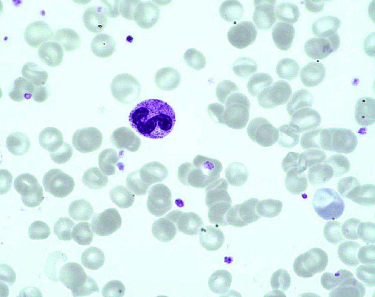
Round cell of average size, segmented nucleus (2-5 lobes connected by chromatin filaments), with a condensed chromatin, no nucleolus, unstained cytoplasm covered with fine neutrophil granules.
PNN Leukocytosis: Reactive (in case of infections + + +), Granulocytic regeneration, Treatment with corticosteroid drugs, Tobacco consumption.
Pregnancy.
Very rare neutrophil leukemia (diagnosis of exclusion)
