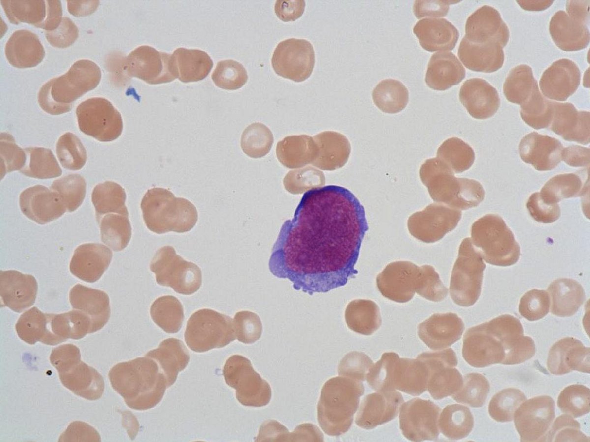
Cell of medium size, with very high N/C ratio, polyedrical nucleus with nucleole, fine chromatin, basophilic lightly extended cytoplasm.
These cells ca be found in Acute Leukemia, Chronic Myeloid leukemia (the hemoblast are then associated to a balanced myelemia), Myelodysplastic Syndrome, unfrequently in presence of Myeloid Regeneration (associated with myelemia).
