

Subscribe to QSP newsletter
Subscribe to our monthly QSP Newsletter to see detailed morphology case studies, disease focuses, morphology tips, slide reviews, and quizzes!
April 2024
Monthly Digital Case Study
April Slides
Quiz
(PDF for print)
| WBC 48.17* (10^3/mm3) | Neutrophils 91% |
| RBC 2.29* (10^6/mm3) | Lymphocytes 1.6% |
| HGB 7.3* (g/dL) | Monocytes 6.8% |
| HCT 21.2 (%) | Promyelocytes 1.5% |
| MCV 92.3 (fL) | Metamyelocytes 0.8% |
| MCH 32.0 (pg) | Normoblasts/Erythroblasts 3 |
| MCHC 34.7 (g/dL) | |
| PLT 65 (10^3/mm3) |
Male age 64, medicine unit
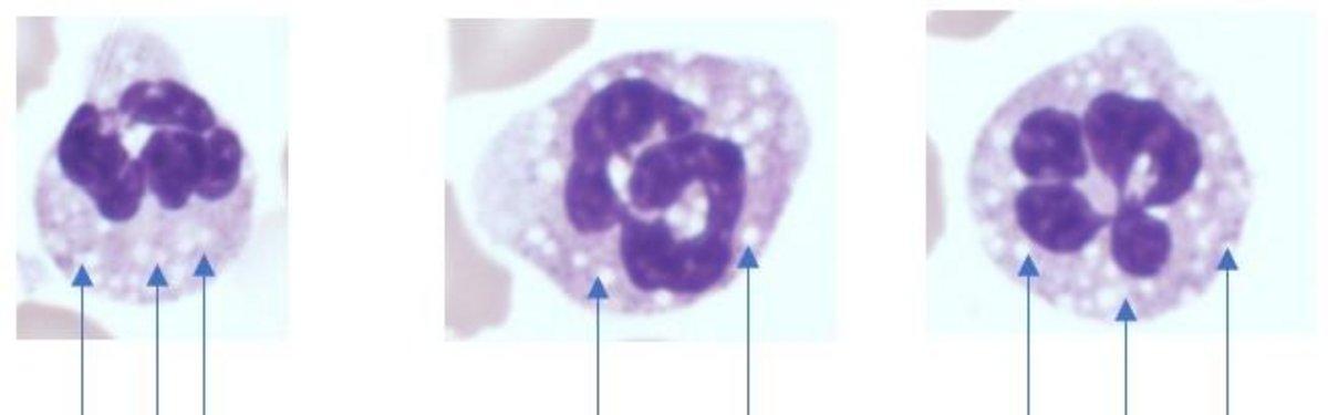
Anemia, Echinocytes (++), Thrombocytopenia, Neutrophilia: vacuolated neutrophils (+++)
Expert's comments:
Arrows indicate some of the vacuoles present
Vacuoles are small clear spaces in the cytoplasm of cells, in this case, Neutrophils which arise from phagocytic activity stimulated by the release of cytokines in response to inflammation or injury.
Vacuolated Neutrophils can be seen in infection, particularly bacterial, alcohol toxicity, liver failure, gout, and thyroiditis. The combination of vacuolated neutrophils together with toxic granulation, is a strong indicator of sepsis.
The main red cell feature reported was the presence of echinocytes (from the Greek word echinos meaning hedgehog or sea urchin). Echinocytes may also be seen when there has been a delay in making the blood film from an EDTA sample. There are though an occasional acanthocyte and a suspicion of the presence of Schistocytes (red cell fragments) which together with the thrombocytopenia may indicate the presence of sepsis-induced Disseminated Intravascular Coagulation (DIC) or Hemolytic Uremic Syndrome (HUS).
Echinocytes
| Acanthocyte
| Schistocyte
|
Coagulation assists in the body’s fight against infections by trapping the pathogen in a fibrin network at the site of infection thereby limiting the spread of infection. Sepsis is a life-threatening condition caused by the immune system going into overdrive causing widespread inflammation and organ damage.
DIC is a condition where the coagulation cascade is activated causing both thrombotic and hemorrhagic complications resulting from intravascular fibrin formation. Tissue factor is the main trigger for activating the coagulation pathway in sepsis, tissue factor is located in the vascular endothelium. When endothelium damage occurs, its exposure leads to activation of the extrinsic coagulation pathway. Tissue factor is also present in inflammatory cells particularly monocytes and other circulating macrophages, following activation tissue factor as well as cytokines and chemokines are released into the circulation. Neutrophils also play a large part in the activation of the coagulation cascade through the expression of tissue factor and the release of chemical mediators and proteins. Not only is the coagulation cascade activated leading to inappropriate fibrin deposition but the anticoagulant pathways are deranged which leads to a hypercoagulable state.
Platelet and coagulation factors are consumed leading to a low platelet count, elevated Prothrombin Time (PT) and Activated Partial Thromboplastin Time (APTT), low Fibrinogen and increased Fibrin Degradation Products (FDP) or D Dimers.
DIC is seen in approx.35% of all sepsis patients.
Do you have any questions or requests? Use this form to contact our specialists.
