Search
English
Corporate
About
Products
Veterinary diagnostics
Support
Remote-connected support - Yumicare
News
Events
News / Press release
Country / Region
Change
聯絡我們
找到我們
HORIBA
»
Healthcare
»
Academy
»
Blood Cell Morphology
»
Cytology Atlas - Hematovision
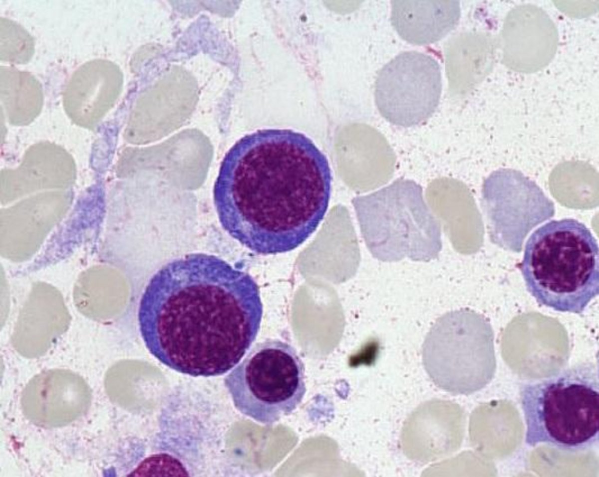
Basophil erythroblast
Size : 15 -18 µm
Normal values : Absent in the blood
Description / Pathology :
Cell of 15-18 µm, with round nucleus, condensed chromatin, and very basophilic cytoplasm.
聯絡我們
Corporate