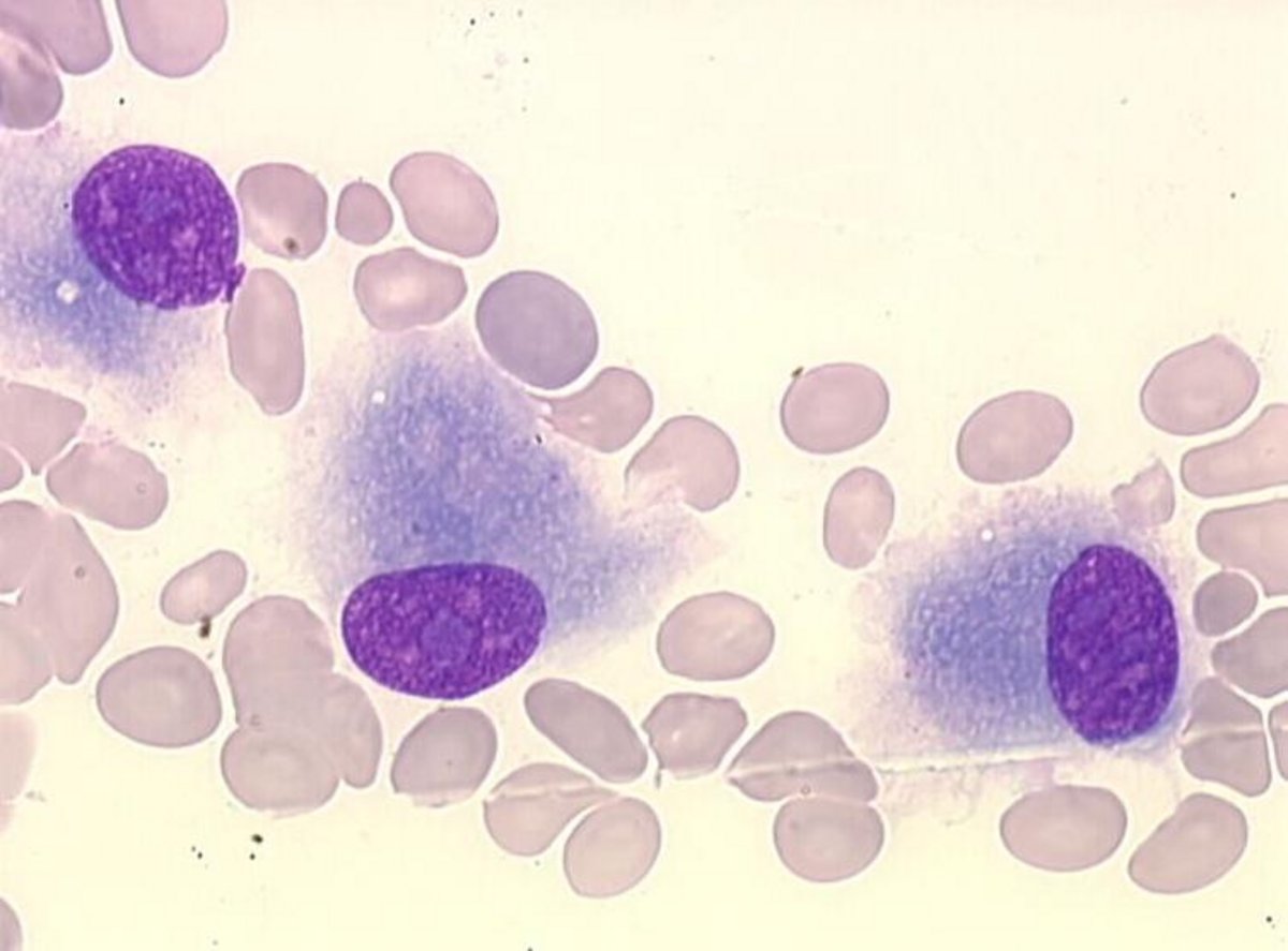
Célula de tamanho muito grande, às vezes agrupada em aglomerados, com núcleo excêntrico redondo regular, cromatina intermediária/levemente condensada, citoplasma basofílico muito extenso, contorno celular mal definido, aparência de cometa, grande aparelho de Golgi central.
Sua presença no mielograma é um sinal da origem da amostra na medula óssea. Em apresentações clinicamente significativas (pancitopenia), em casos de medula óssea muito pobre, indica anemia aplásica em vez de amostra hemodiluída.
