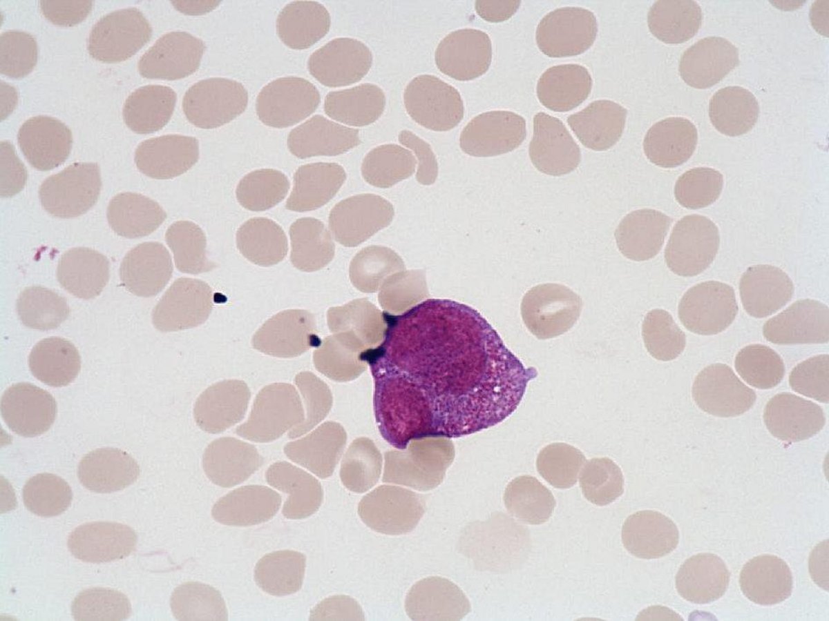
Large size cell, oval, with nucleus often lobed as butterfly wings, fine chromatine, very granular basophilic cytoplasm (many azurophilic granules) with Auer rods in bundles (pathognomonic).
Acute promyelocytic leukemia (FAB classification AML3/ AML classically with t (15; 17) WHO classification.
