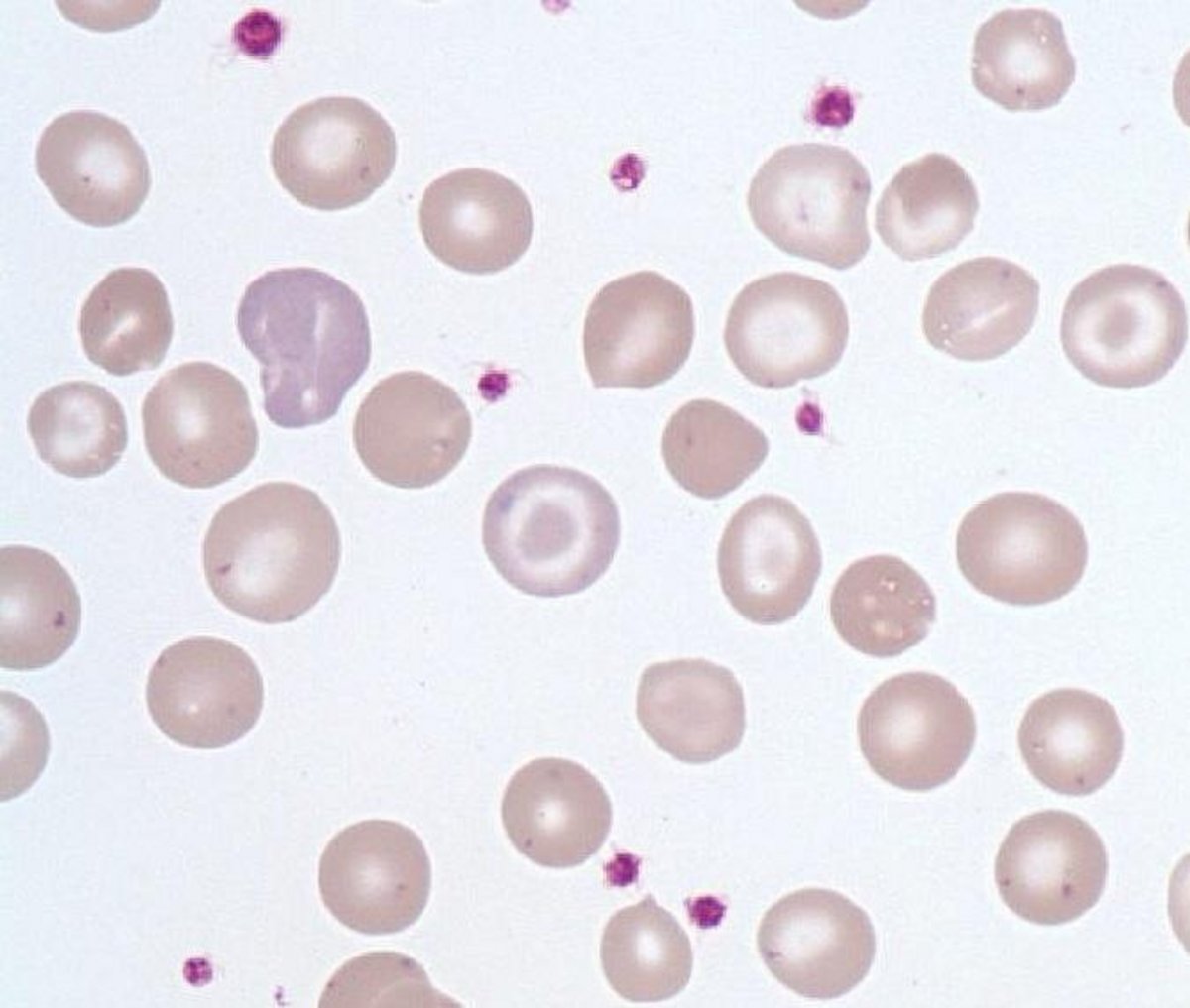
Target cell

Target_cell
  • Size : about 1 RBC
  • Normal values : Absent in the blood
  • Description / Pathology :

    Red blood cell with three concentric area reflecting normal concentration Hb zones (center and periphery) and low concentration Hb zone (intermediate clear zone).

    Thalassemia.

Corporate