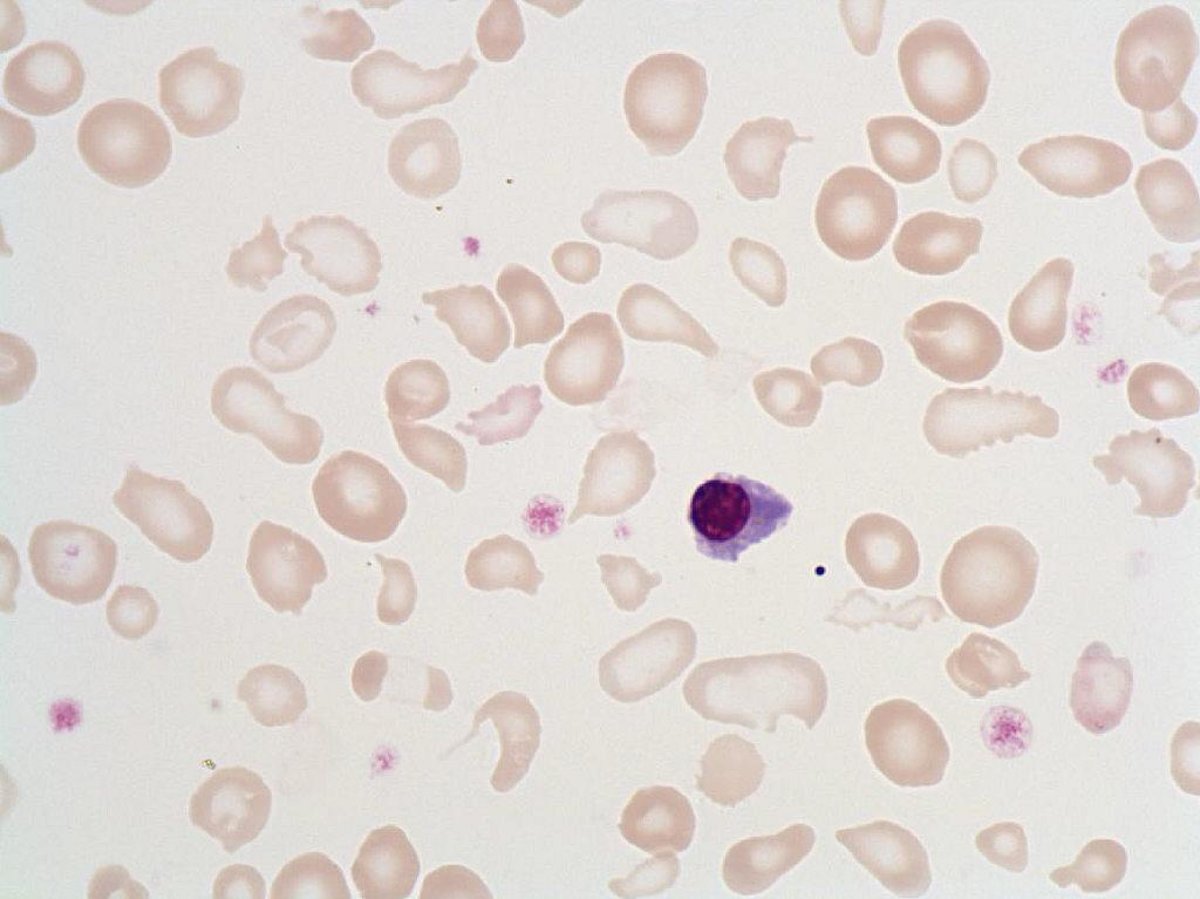
Poikilocytosis

Poikilocytosis
  • Size : N/A
  • Normal values : Absent in the blood
  • Description / Pathology :

    Red blood cells of variable shapes.

    Various dyserythropoiesis, hemoglobinopathies.

Corporate