
Subscribe now!

Subscribe and receive Heme Insights from the next issue.
► Morphology Case Study
► Yumizen H500 CRP Key Features Summary
► Quiz
► PDF
A 52-year-old male suffering from endomyocardial fibrosis and valvular disorders.
| Automated CBC | |
| WBC 14.8* x 109/L | MCV 94.0 fL |
| RBC 3.4 x 1012/L | MCH 29.7 pg |
| HGB 101 g/L | MCHC 316 g/L |
| HCT 0.318 L/L | PLT 230 x 106/L |
On manual inspection, a marked eosinophilia was noted, with an absolute eosinophil count of 6.7 × 10⁹/L. Occasional acanthocytes, schistocytes, and large platelets were seen.
Tentative Diagnosis:Myeloproliferative disorder / chronic eosinophilic leukemia?
Expert Note: Abnormal neutrophils, to confront to the myelogram and cytogenetic assessment in progress (with research fusion genes BCR-ABL1, FIP1L1-PDGFRA, PDGFRAB and FGFR3)
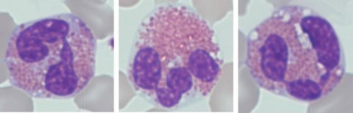
Eosihophils
Neutrophils (hypogranular)
Endomyocardial fibrosis is associated with prolonged eosinophilia. Eosinophils infiltrate the subendocardium, releasing toxic proteins which destroy myocardial tissue and cause inflammation.
Eosinophilia can either be caused by a secondary reaction (allergic disorders, drugs, parasitic infection, rheumatological disorders), be a primary (clonal) disorder (hematological neoplasm with clonal eosinophilia) or idiopathic (no detectable primary or secondary causes for eosinophilia).
The majority of clonal eosinophilia can be classified as myeloid/lymphoid neoplasms with eosinophilia and rearrangement of PDGFRA, PDGFRB, or FGFR1 or with PCM1-JAK2 (MLN-TK) and the myeloproliferative neoplasm subtype, "chronic eosinophilic leukemia, not otherwise specified" (CEL, NOS). An eosinophilia in BCR-ABL positive chronic myeloid leukemia may be an indicator of disease acceleration or blast transformation.
The PDGFRA or PDGFRB rearrangement is indicative of a heightened response to the tyrosine inhibitor imatinib.
The CE IVDR–certified Yumizen H500 CRP is a compact benchtop hematology analyzer designed for small laboratories and hospital settings, delivering a simultaneous complete blood count (CBC), 5-part extended leukocyte differential and rapid CRP measurement from a single whole blood sample.
Using just 27 µL of venous or capillary blood, it provides fast, clinically relevant results, making it ideal for rapid patient triage, including pediatric applications.
Powered by HORIBA’s patented i-DoubleDiff™ technology, the analyzer offers 38 parameters, including detailed insight into immature white blood cell populations (IML, IMM, IMG) and atypical lymphocytes (ALY), alongside infectious screening flags for Malaria and Dengue. The combined WBC differentiation and CRP testing support enhanced detection and monitoring of infection, inflammation, hematological disorders and treatment response, helping clinicians distinguish between bacterial and viral infections and optimize antimicrobial use.
The Yumizen H500 CRP features a user-friendly touchscreen interface, robust design, and bidirectional connectivity (ASTM/HL7) for seamless laboratory integration. Comprehensive QC management, internal QC indicators, overlapping QC and repeatability testing, and Yumicare remote assistance ensure reliable performance and efficient operation. Overall, the Yumizen H500 CRP delivers high clinical value, rapid turnaround times and cost-effective testing in a compact footprint.
The Yumizen H500 CRP is CE IVDR certified. Availability is subject to local registration and regulatory requirements.
The presence of Auer rods in blast cells is most strongly associated with which condition?
a) Chronic lymphocytic leukemia
b) Acute myeloid leukemia
c) Iron deficiency anemia

A female presents with the following results.
| WBC 5.62 (10^3/mm3) | MCV 59 (fL) |
| RBC 4.55 (10^6/mm3) | MCH 18.9 (pg) |
| HGB 8.6 (g/dL) | MCHC 32.2 (g/dL) |
| HCT 26.7 (%) | PLT 231 (10^3/mm3) |
The blood smear is Microcytic/Hypochromic, Target Cell, poikilocytosis.

Which 2 additional tests should be performed?
a) Iron status
b) Hemoglobin analysis
c) Haptoglobin
d) Liver Function tests
e) Clotting screen
The Answer: a) Iron status and b) Hemoglobin analysis
The RBC parameters and blood smear are highly suspicious of the patient having Thalassemia; hemoglobin analysis will determine if alpha or beta thalassemia.
Bibliography
World Health Organization-defined eosinophilic disorders: 2022 update on diagnosis, risk stratification, and management, William Shomali 1, Jason Gotlib 1, Am J Hematol.2022 Jan 1;97(1):129-148.
Guideline for the investigation and management of eosinophilia, Nauman M. Butt, Jonathan Lambert et al, First published: 23 January 2017, https://doi.org/10.1111/bjh.14488
Editorial Team
Kelly Duffy, Andrew Fisher, HORIBA UK Limited
