

Quality Slide Program (QSP) 2.0
Available as a single use license and a site license which allows up to 50 concurrent users.
December 2022
December 2022 QSP Slides
Monthly Digital Case Study
Lymphocytosis
Quiz
(PDF for print)
Slide 1: Nothing to report
Slide 2: Nothing to report
Slide 3: Patient in intensive care
Slide 4: Lymphocytosis see slide case study below
Slide 5: Hyperlymphocytosis
Slide 6: Hyperlymphocytosis
December 2022 QSP Slide 4:
FBC Results
WBC 22.91* (10^3/mm3)
RBC 3.94 (10^6/mm3)
HGB 11.8 (g/dL)
HCT 35.9 (%)
MCV 91 (fL)
MCH 29.9 (pg)
MCHC 32.9 (g/dL)
PLT 439 (10^3/mm3)
Neutrophils 49.6%
Lymphocytes 39.1 % (absolute 8.96 x 10^3/mm3)
Female age 37
Clinical Details
Digestive Surgery unit
Slide Information
Experts comment: Polymorphic lymphocytosis (No binucleated lymphocytes: to do follow up)
In this month's slide package, slides 4, 5 and 6 all show a lymphocytosis (defined in adults as an absolute lymphocyte count > 4 x 10^3/mm3). Lymphocytosis is a relatively common finding and can be due to a wide range of conditions either reactive e.g. Viral infections Epstein Barr Virus (EBV) which can cause Infectious Mononucleosis (IM-, bacterial pertussis (whooping cough) or malignant Lymphoproliferative disorders, Chronic Lymphocytic Leukemia (CLL), Non-Hodgkins Lymphoma (NHL), Hairy Cell Leukemia.
A full clinical history is important in diagnosing the reason for the Lymphocytosis. The age of the patient at presentation could indicate the reason e.g. CLL is more common in the elderly whereas IM is more common in the young/adolescent patient. Certain medication can cause lymphocytosis (allopurinol, vancomycin, carbamazepine). Severe medical conditions can increase the lymphocyte count e.g cardiac arrest, epileptic seizures, epinephrine injections.
The blood film must always be examined if Lymphocytosis is detected as there could be important morphological features which are not necessarily detected by the analyzer. When examining a blood film one should always view the cells without a pre-conceived diagnosis, for example just because the patient is 75 years old, it doesn’t mean that they cannot have IM and conversely a younger person may have NHL. Try not to focus entirely on the lymphocytes, it is important to look at the blood film in its entirety e.g. any red cell abnormalities (Features of splenic dysfunctional or asplenism, presence of parasites), is there background staining in between the red cells which may indicate an increase in immunoglobulins.
In the December slide package, slides 4, 5 and 6 show different morphological features which can be very useful in the diagnosis of a lymphocytosis. The table below shows a brief description of the results:
| Slide | Age | Details | WBC x10^3/mm3 | Lymph x10^3/mm3 |
|---|---|---|---|---|
| 4 | 31 | Digestive Surgery | 22.9 | 8.9 |
| 5 | 71 | Emergency | 17.2 * | 13.9 * |
| 6 | 21 | Emergency | 10.2 | 6.6 |
• Slide 5 results calculated
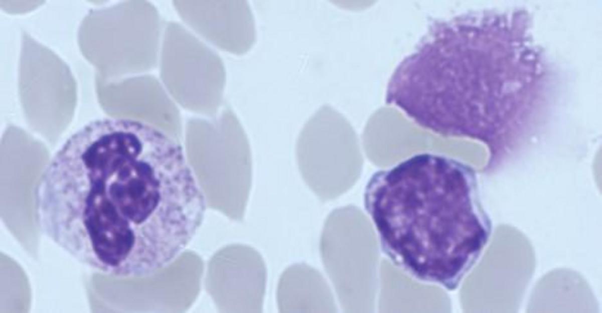
• Lymphocyte Images from Blood films
As can be seen, the lymphocytes in slides 4 and 6 appear to be reactive in nature i.e vary in size and morphological features – nuclear shape, amount and color of cytoplasm (polymorphic). The cell indicated by the arrow in slide 6 may even be described as being a plasmacytoid lymphocyte (dark blue cytoplasm, nucleus to the side of the cytoplasm).
When slide 5 is viewed, the predominant feature is the presence of numerous cells which are described as Smear, Smudge, Gumprecht shadow or basket cells. Lymphocytes in patients with CLL are known to be more fragile than normal lymphocytes. During the making of the blood film, the fragile lymphocytes are crushed and form smear cells. Smear Cells are therefore indicative of CLL and the number present may be of prognostic value.
a) Neutrophil, b) Smear Cell, c) Lymphocyte
Further tests need to be performed on the patients from slide 4 and 6 including EBV status. The patients must be followed up.
Patient 5 appears to have CLL and the experts comment confirms CLL. Flow cytometry studies indicate a matutes score of 4/5 and cytogenetic studies confirm a 13q14 deletion.
Bibliography
Lymphocytosis: https://www.ncbi.nlm.nih.gov/books/NBK549819/
Do you have any questions or requests? Use this form to contact our specialists.

