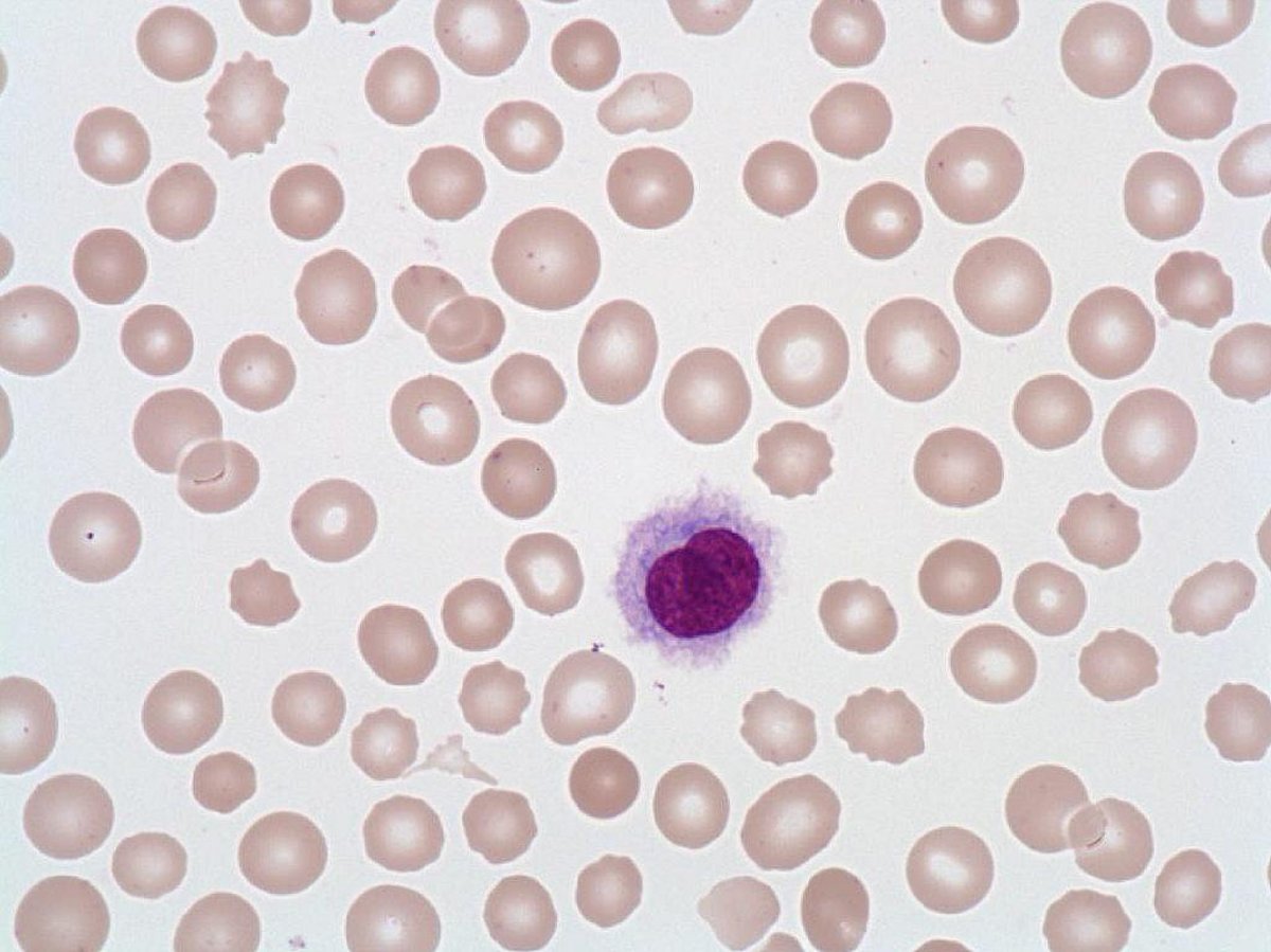
Average size cell larger than a villous lymphocyte, round or kidney-shaped nucleus, delicate chromatin (like grains of sand), very extended cytoplasm with irregular membrane and thin circumferential extension (aspect fried-egg appearance), of filamentous appearance
Hairy Cell Leukemia.
