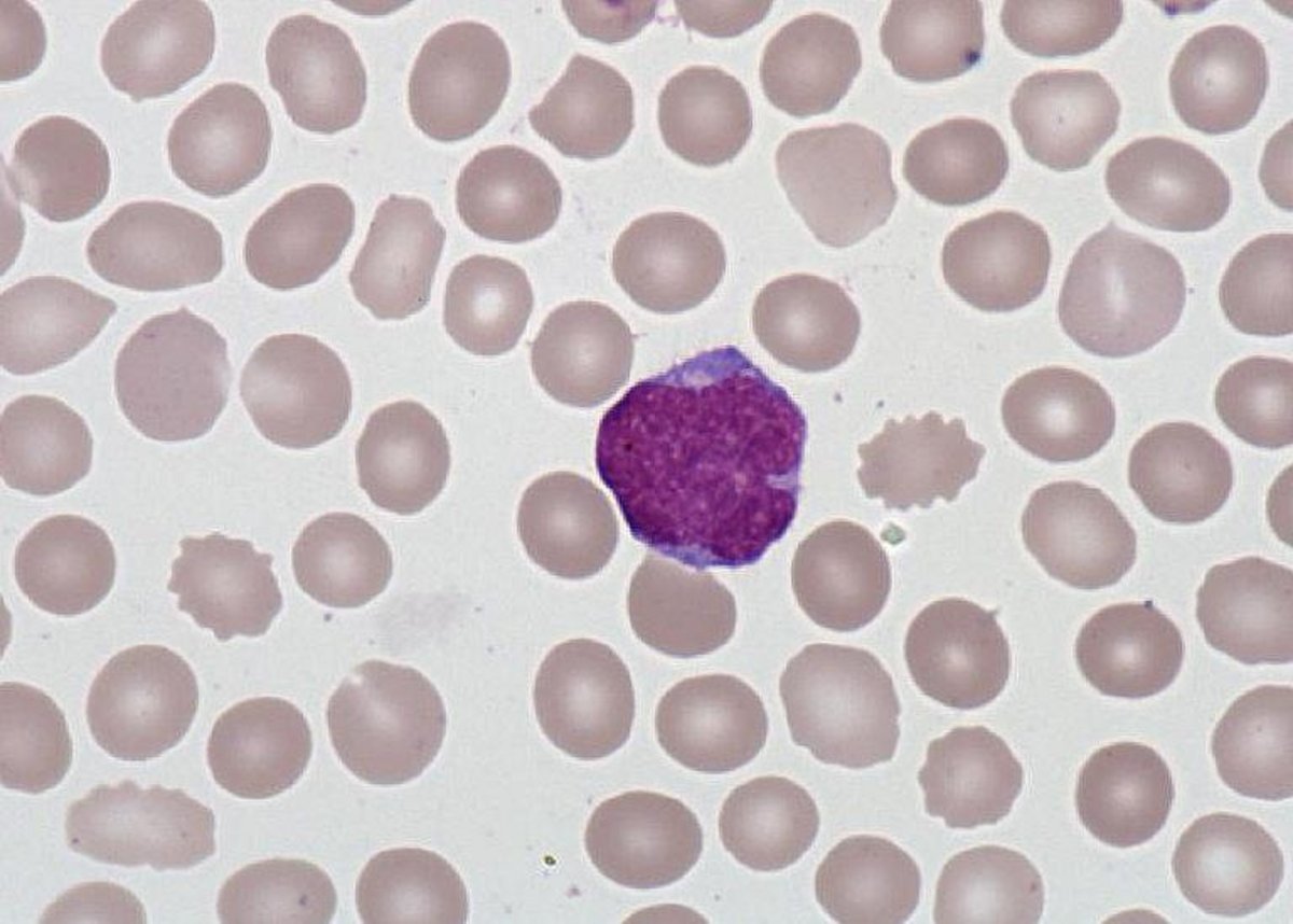
Medium size cells, irregular nucleus with intermediate/mildly condensed chromatin sometimes with nucleolus, usually deep nuclear invaginations, slightly extended basophilic cytoplasm.
Mantle Cell Lymphoma (B-cell lymphocytosis, with Matutes score <3, translocation t (11, 14) with overexpression of D1 cyclin or BCL1.
