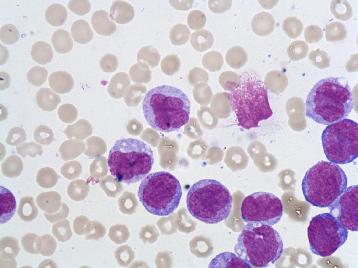
Large size cell, indented nucleus, with no nucleolus, quite fine chromatin, sometimes vacuolated gray cytoplasm.
Intermediate stage between monoblast and mature monocyte.
Acute monoblastic Leukemia = AML5b (mainly monocyte maturation).
Chronic myelomonocytic leukemia CMML.
