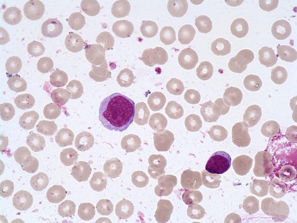
Medium size cell larger than a lymphocyte, round nucleus with dense chromatin presenting prominent nucleolus, poorly extended light basophilic cytoplasm.
Often in a context of major lymphocytosis.
Prolymphocytic Leukemia: transformation of CLL into prolymphocytic leukemia
