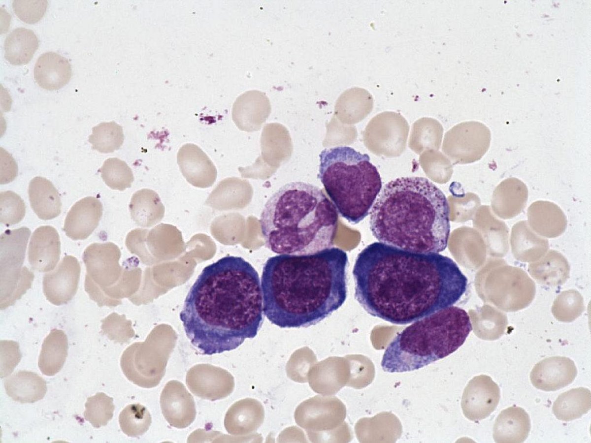
Erythroblast of megaloblastic anemia

Erythroblast_of_megaloblastic_anemia
  • Size : Large, 20-30 µm
  • Normal values : Absent in the blood
  • Description / Pathology :

    Megaloblast, macrocytic erythroblast sometimes giant, with beaded chromatin, because of asynchronization of the nucleo-cytoplasm maturation.

    Megaloblastic anemia, vitamin deficiency, Biermer disease.

Corporate