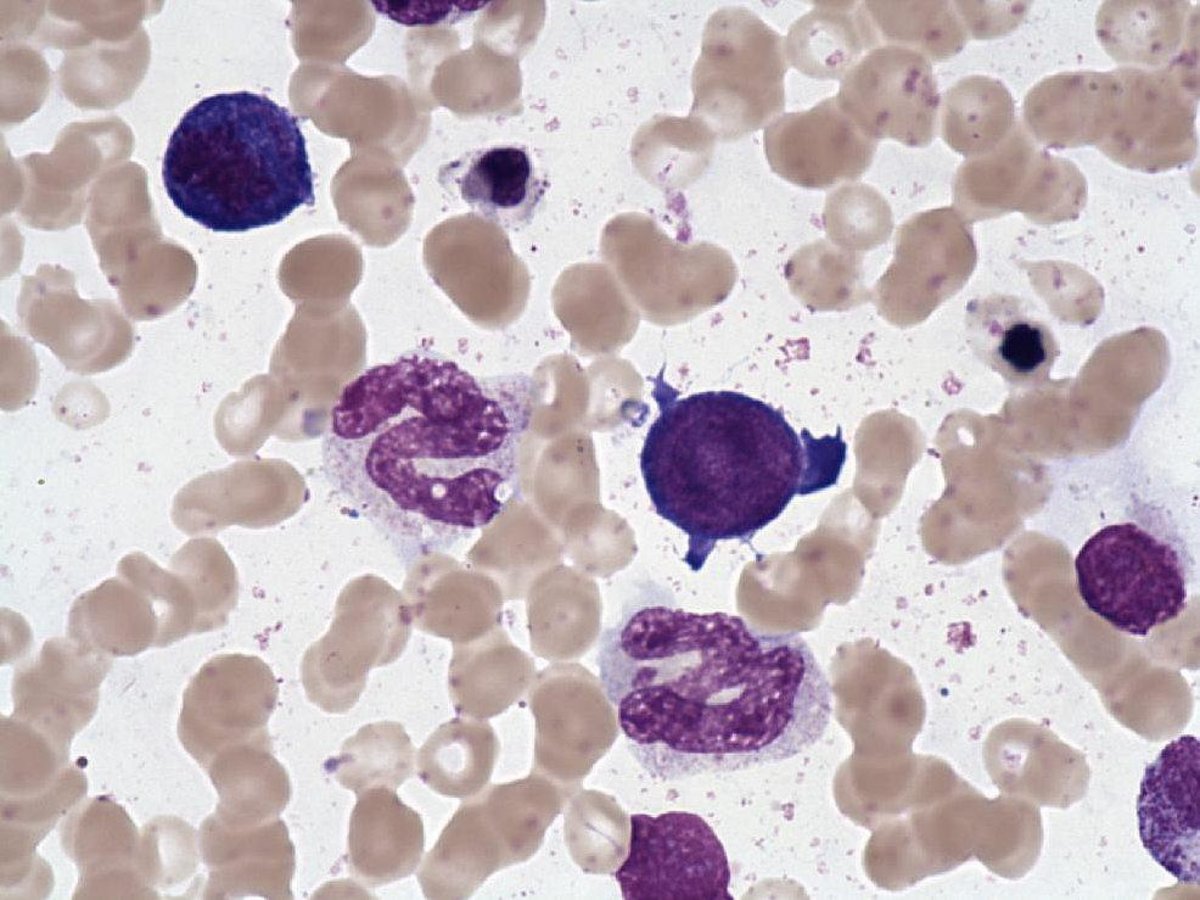
Giant dysplastic metamyelocytes with ribboned nucleus. Nucleus hypersegmentation of neutrophils.
Associated with abnormalities of the erythroid lineage: megaloblasts (immature bead-like/pearl-like chromatin and intensely basophilic cytoplasm), macrocytosis,nuclear atypia and asynchrony of nuclear-cytoplasmic maturation.
Vitamin deficiency (B12, folate)
