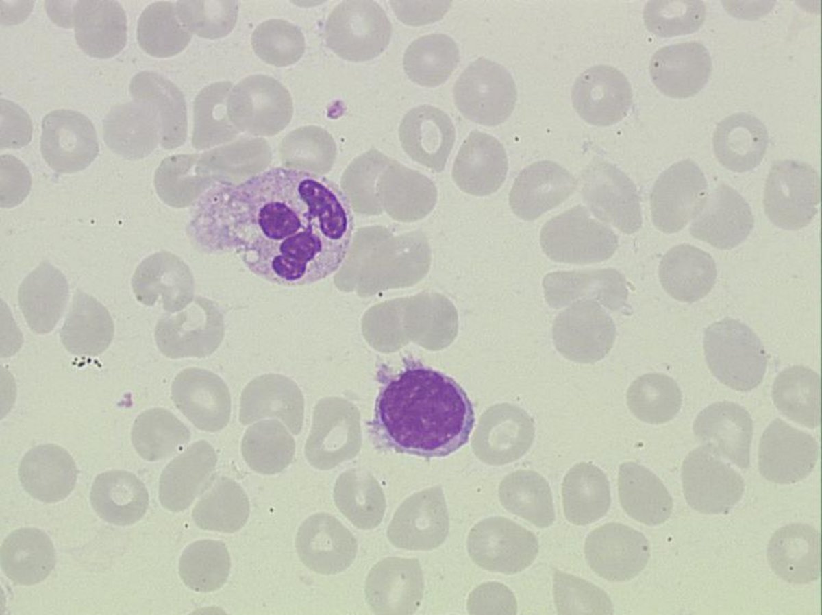
Small to medium sized cells, round nucleus with condensed chromatin (small distinct nucleoli), moderately extended cytoplasm, slightly intense basophilia, villi grouped into 1-3 poles (not on the whole circumference).
Marginal zone splenic lymphoma.
Other low-grade B-cell lymphomas.
