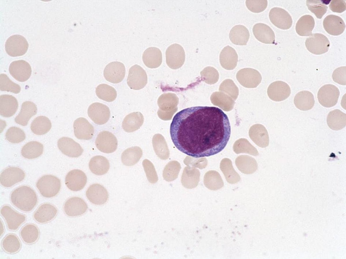
Monoblast

Monoblast
  • Size : Large 20-30 µm
  • N/C ratio= Medium to elevated
  • Cytoplasm
    • Extension : Abundant
    • Basophilia : Moderately intense
    • Number of granules : Rare
    • Color of granules : Red = azurophils
    • Membrane : Regular
  • Nucleus
    • Situation : Central
    • Chromatin : Fine
    • Nucleoli : Present
    • Membrane : Regular
  • Normal values : Absent in the blood
  • Description / Pathology :

    Large size cell, round nucleus and fine chromatin with nucleolus, slightly basophilic cytoplasm with abundant cytoplasmic veils, pseudopodia and fine "grain dust "grits . Sometimes concave nucleus.

    Acute Monocytic Leukemia: AML5a and AML5b.

Corporate