联系我们
找到我们
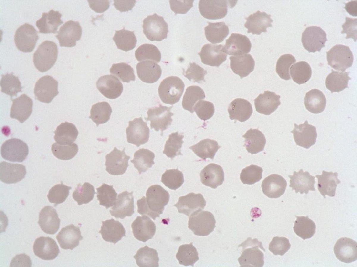
Red blood cells with irregular cytoplasmic spicules.
Rare hereditary diseases (e.g. abetalipoproteinemia), acquired diseases (hepatocellular insufficiency, severe malnutrition, asplenia).