Search
English
Corporate
China
关于
产品
血液分析设备
血液分析流水线
HELO Solution
Yumizen H2500/H1500
Yumizen SPS
Yumizen T6000
Yumizen P8000
CellaVision
Cube S
Cube ST
血液分析仪
Yumizen H2500/H1500
Yumizen H550/H560
Pentra 80
Pentra 60
Micros
Yumizen P8000
Yumizen SPS
CellaVision
Cube S
Cube ST
RAL StainBox
RAL Stainer
阅片机
CellaVision
其他产品
Yumizen T6000
Yumizen P8000
Yumizen SPS
CellaVision
Yumizen D20
Cube S
Cube ST
RAL StainBox
RAL Stainer
试剂
试剂
质控 & 校准
技术支持
全球实时在线质控平台(QCP)
Cytology Atlas - Hematovision
认证文件支持(ISO)
动物血分析系统
服务
认证支持
全球实时在线质控平台(QCP)
认证文件支持(ISO)
认证文件
质控靶值
符合性声明文件
MSDS
质控文件
远程连接支持工具 - Yumicare
技术支持
培训中心
其他文件
在线学术课程
技术
学术文章
血细胞形态学
在线学术课程
细胞学图谱-血液分析系统
Hematopoiesis
案例分享订阅 - Heme Insights
RBC Morphological Abnormalities
案例分享
临床案例分享
学术海报
技术
白细胞的10分类
吸光度
360度样本混匀技术
显色法
凝固法
CRP
定制稀释比(CDR)
双鞘流技术(DHSS)
荧光-网织红细胞分析
免疫比浊法
阻抗法
疟疾和登革热的快速筛查
MDSS微量分血技术
电位分析法
结果管理
沉降作用
全自动推染片系统
分光光度法
新闻
最新活动
最新发布及文件下载
联系
联系我们
全球分支
Country / Region
Change
联系我们
找到我们
HORIBA
»
医疗
»
技术
»
细胞学图谱-血液分析系统
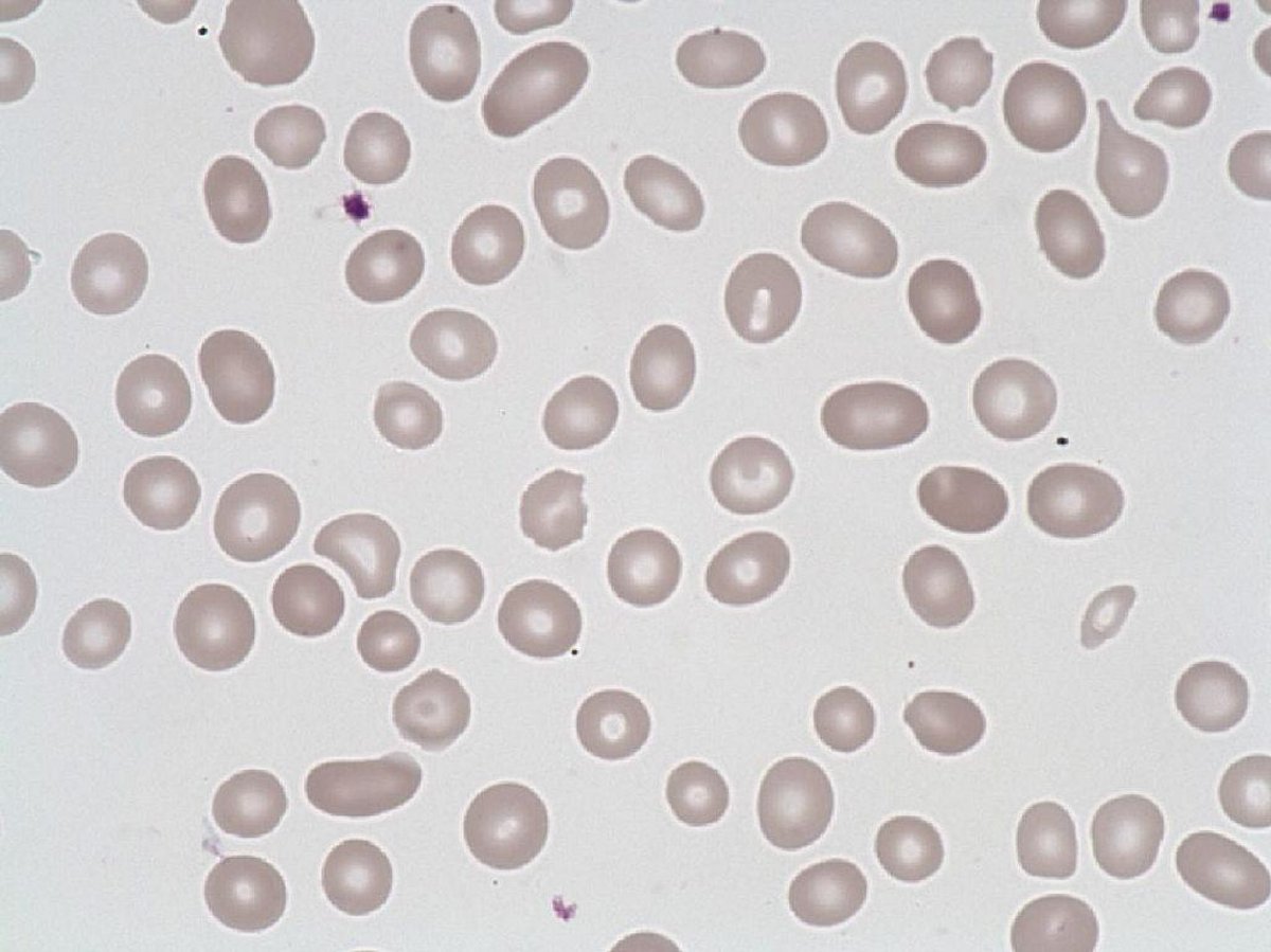
Elliptocyte
Size : N/A
Normal values : Absent in the blood
Description / Pathology :
Red blood cells deformed assuming an elliptic shape.
Congenital elliptocytosis.
联系我们
Corporate