非再生性免疫介在性貧血(non-regenerative immune mediated anemia:以下NRIMA)は多染性赤血球以前の赤芽球系細胞成熟ステージにおける免疫学的破壊に関する疾患で、末梢血では非再生性貧血を呈する血液疾患です。免疫介在性血液疾患に対する治療は、副腎皮質ステロイド剤を始めとする各種免疫抑制剤による免疫抑制療法が主体です。NRIMAの治療法も確立されていませんが、基本的には同様と考えられています。今回著者らは、元気・食欲の低下と外陰部からの悪露を主訴に来院したラブラドール・レトリバーをNRIMAと診断し、プレドニゾロン、アザチオプリン、シクロスポリン等の免疫抑制剤の投与により改善を認めたので、その概要を報告いたします。
雌(未避妊)3歳8ヵ月齢、体重27.7 kg、各種予防済
稟告:2週間以上前より元気、食欲の低下、口腔粘膜が蒼白、外陰部からの悪露を認めるとのことでした。また、患犬は現在妊娠中で約10日後に出産予定とのことでした。
ジェニア(母犬)
初診時一般身体検査:体温38.2 ℃、BCS 2/5、呼吸音は正常、可視粘膜は蒼白でした。意識レベルは正常で、診察時トリーツを食べる余裕がありました。
初診時血液検査:一般血液検査では、ヘマトクリット値8.1 %であり、重度の貧血が認められました。血液塗抹検査では、赤芽球や多染性赤血球は認められず、赤血球形態の変化として軽度の大小不同、少数の球状赤血球や菲薄赤血球を認めました。また、バベシア寄生体やハインツ小体は認めませんでした。血小板、白血球系にも異常所見は認めませんでした(図1)。
図1 末梢血塗抹(x400)
血液化学検査では、アラニンアミノトランスフェラーゼ(ALT)、C反応性蛋白(CRP)の上昇が認められました。血液凝固系検査では、PT、APTTの延長が認められました(表1)。
表1
腹部超音波検査:妊娠胎子とその心拍動を認めました。
その他の検査:貧血の鑑別および輸血治療のために網赤血球の評価、クームス試験、犬バベシア原虫検出(PCR法)、犬血液型検査を行いました。網赤血球の評価では、網赤血球数が0.6 %、網赤血球実数が6840 /μl、網赤血球産生指数が0.037といずれも低値を示しました。クームス試験では、37 ℃および4 ℃ともに陽性でした。犬バベシア原虫検出(PCR法)では、B. gibsoniおよびB. canisともに陰性でした。犬血液型検査では、DEA1.1陽性でした(表2、3)。
表2
表3
上記検査結果より非再生性の重度貧血が認められたため、第1病日の治療として全血輸血(400 ml)を実施し、デキストラン鉄(10 mg/kgSID)、アンピシリンナトリウム(25 mg/kgBID)、ヘパリンナトリウム(50 U/kgBID)、ビタミンK(1 mg/kgSID)を投与しました。また、患犬は妊娠をしていたためステロイドなどの免疫抑制剤の使用は見合せました。輸血後、元気・食欲が改善しましたが、PCVは16.3 %まで上昇するも徐々に低下したため、第8病日に再度全血輸血(400 ml)を行いながら全身麻酔下にて帝王切開、子宮卵巣摘出および骨髄検査を実施しました。帝王切開では9頭の胎子を摘出し5頭が生存、4頭は死亡していました。
※生まれて間もない子犬達
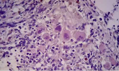
骨髄検査:右上腕骨近位部よりアプローチし、骨髄吸引による骨髄塗抹検査および骨髄コア採取による病理組織検査を実施しました。骨髄細胞診検査では、末梢血に希釈されており、細胞充実度の評価は困難でしたが、赤芽球系の細胞が主体で、著しい低形成や急性白血病を示唆する所見は認められませんでした。病理組織検査では、骨髄は細胞充実度に富み、過形成髄と判断されました。赤芽球系造血細胞がやや多く認められ、骨髄系造血細胞や巨核球も散見されました。また、線維化や感染性病原体や腫瘍性変化は認められませんでした(図2)。
図2 骨髄病理(x400)
本症例を以下より非再生性免疫介在性貧血(NRIMA)と診断しました。
術後より上記投薬に加え、まずプレドニゾロンの投与を1 mg/kg/日で開始しましたが、多飲多尿、腹部拡大、肝腫大、肝酵素上昇、筋肉の消耗、皮膚の菲薄化、易感染性(細菌性膀胱炎、皮膚糸状菌症、膿皮症)などのステロイドによる副作用がかなり強く認められたため、第57病日より徐々に減薬し、第200病日からは完全休薬しました。アザチオプリンは第43病日より0.95 mg/kg/日でプレドニゾロンとの併用を開始しました。第107病日より1.75 mg/kg/日に増量し、第136病日からは休薬しました。また、アザチオプリンに代えてシクロスポリンを第130病日より10.2 mg/kg/日で投与開始しましたが、消化器症状(下痢・嘔吐)が強く出てしまい第142病日より7.0 mg/kg/日に減薬しました。その後、経過が安定したので第262病日より3.5 mg/kg/日、第304病日より2.7 mg/kg/日に減薬しました(図3、4)。
図3
図4
患犬は術後より食欲が戻り元気も徐々に回復しました。
しかし、手術時輸血を行ったにもかかわらず輸血前よりも輸血後のPCV値の減少(15.8 %→11.8 %)が認められました。
また、手術前後に血小板数の減少も認められDICの併発が疑われたので、ヘパリンナトリウムやビタミンK等の対症療法を実施しました。幸いその後徐々に貧血および血小板数の改善が認められました。手術後11.8 %まで減少したPCV値は第49病日には33.4 %まで回復しました(図3)。その後のPCV値は27.5から46.0 %の間を推移しましたが(図4)、網赤血球数、網赤血球実数および網赤血球産生指数のいずれも低値を示し、末梢血での赤血球系の再生像はあまり認められませんでした。現在(第436病日)、免疫抑制剤としてはシクロスポリンのみによる治療を行っており、PCV値は37 %となっています。また、一般状態はステロイドによる副作用も改善し比較的安定しています(図4)。
赤血球系細胞の免疫介在性疾患には、免疫介在性溶血性貧血(IMHA)、非再生性免疫介在性貧血(NRIMA)、赤芽球癆(PRCA)が知られており、それぞれの疾患で免疫学的破壊のターゲットとなる細胞が異なります(表4)。治療はいずれの疾患も免疫抑制療法が適応となりますが、獣医領域におけるエビデンスは乏しいのが現状です。今回の症例は、プレドニゾロン、アザチオプリン、シクロスポリンで治療し、ある程度の効果が得られました。難治性のNRIMAに対する治療としてミコフェノール酸モフェチル、レフルノミド、ヒト免疫グロブリン製剤を用いた報告がありますが、薬剤が高価なため今回は用いませんでした。また今回の症例は、妊娠末期という特殊な状況の下、使用する薬剤には細心の注意を払う必要がありました。残念ながら全頭の胎子の救命はできませんでしたが、母犬と5頭の胎子を救うことができました。
帝王切開後、子宮卵巣の全摘出を実施し、術後より開始した免疫抑制療法により、貧血の改善が認められたことは大変興味深いところです。
表4
※母犬と子犬達との集合写真
2015年4月掲載
※内容は掲載時点の知見であり、最新情報とは異なる場合もございます。
| 病院名 | セナ動物病院 |
|---|---|
| 住所 | 京都府京都市左京区下鴨松ノ木町32 |
| TEL | 075-712-7757 |
| 診療動物 | 犬、猫、ウサギ、モルモット、ハムスター、フェレット、チンチラ、小鳥 |
| ウェブサイト | http://sena-animal-hospital.com/ |
地図













