免疫介在性の貧血は標的となる赤芽球系細胞の分化段階に基づいて免疫介在性溶血性貧血(immune mediated hemolytic anemia: 以下IMHA)、非再生性免疫介在性貧血(non-regenerative immune mediated anemia: 以下NRIMA)、赤芽球癆(pure red cell aplasia:以下PRCA)、再生不良性貧血(aplastic anemia: 以下AA)に分類されます。IMHAに比べNRIMA、PRCA、AAの発生はまれで、報告もわずかです。今回著者らは糖尿病を伴うPRCAの犬に免疫抑制療法で治療し、長期寛解後にNRIMAを発症したため再度免疫抑制療法で寛解維持できた症例に遭遇したので、その概要を報告します。
ミニチュアダックスフンド
未避妊雌、8歳齢、体重11.0 kg 室内飼育
ワクチン接種なし フィラリア予防なし
既往歴:特になし
現病歴:3週間前より徐々に元気食欲低下。10日前より急に状態が悪化し、診察の結果重度の貧血(PCV 5.0%)を認めたため、当院に紹介来院しました。
初診時一般身体検査:体温38.3 ℃、心拍数120 bpm、呼吸数20 bpm BCS 9/9と肥満でした。可視粘膜は蒼白で、体表リンパ節の腫脹などは認めませんでした。
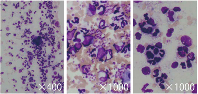
初診時血液検査:CBCでは血小板の増加と重度の非再生性貧血を認めました(表1)。血液塗抹で血小板は増加し、網赤血球はほとんどなく、球状赤血球が5.2%認められました。(図1)。
表1:初診時CBC
図1:血液塗抹
血液化学検査ではALT、ALP、Glu、Ca、Clの上昇とKの低下が認められました(表2)。凝固系検査ではAPTTの短縮が認められました。血清鉄の上昇とUIBCの低下、トランスフェリン鉄飽和度の上昇を認めました。クームス検査は陽性で、抗核抗体検査は陰性でした(表3)。
胸部腹部X線検査と腹部超音波検査では著変を認めませんでした。
表2:血液検査1
表3:血液検査2
骨髄細胞診では正形成髄でした。顆粒球系と巨核球系細胞は正形成で、赤芽球系細胞は重度低形成でした。形態異常や芽球増加などは認めませんでした(図2)。
図2:骨髄細胞診
骨髄組織検査では血液と線維素状の成分を背景に細胞成分が認められました。これらの細胞は顆粒球系細胞が主体で巨核球も認められましたが、赤芽球系細胞はほとんど認められませんでした(図3)。骨髄細胞百分比では顆粒球系細胞は正常に分化成熟し、赤芽球系細胞は合計しても 2.8 %と重度低形成でME比は 32.4 と著しい高値を示しました(表4)。
図3:骨髄組織検査
表4:骨髄細胞百分比%
末梢血での非再生性貧血、骨髄検査での顆粒球系と巨核球系に異常はなく、赤芽球系細胞の重度低形成、異形成所見が認められないことなどから赤芽球癆と診断しました。
150 mlの全血輸血で状態を安定化した後、プレドニゾロン(PDN)1 mg/kg BIDとシクロスポリン(CyA)5 mg/kg BIDで治療を開始しましたが、第10病日頃より多飲多尿など糖尿病の症状が顕在化したため、PDNとCyAを休止しました。また貧血の進行により再度輸血後、人免疫グロブリン(IVIG)1 g/kgを投与し、アザチオプリン(AZP)2 mg/kg SIDによる免疫抑制療法に変更しました。その後、網赤血球が出現し貧血も改善しましたが、第60病日に貧血の進行が認められ、CyA 2.5 mg/kg SIDで追加したところ良好な反応が得られ、第97病日には寛解しました。その後AZPとCyAを漸減し、第316病日に休薬しました。糖尿病は不可逆性であったためインスリングラルギン(ランタス)による治療を行い、比較的良好に管理出来ました(図4)。
図4:治療と経過1
貧血と糖尿病が安定化した後、第123病日に甲状腺ホルモンとACTH刺激試験を行いましたが、甲状腺機能低下症と副腎皮質機能亢進症を示唆するような所見はありませんでした(表5)。
表5:内分泌検査(第123病日)
また同日に行った骨髄検査では赤芽球系細胞は十分増加し、ME比は1.7となっていました。
免疫抑制療法を休薬後もPCVは安定し良好に経過していました(図5)が、第561病日の定期検査で軽度の非再生性貧血と血小板減少症を認めました(表6)。血液塗抹では血小板はやや少なめで、網赤血球はなく、球状赤血球が 8.8 %認められました(図6)。
図5:治療と経過
表6:第561病日CBC
図6:血液塗抹
血液化学検査ではALTとALPの軽度増加とGlu、BUN、Creの低下を認めました(表7)。凝固系ではAPTTが短縮しており、血清鉄は上昇、UIBCは低下しトランスフェリン鉄飽和度は著しく上昇していました(表8)。
腹部超音波検査で脾臓に結節性病変と卵巣に複数の嚢胞を認めました。
表7:血液検査1
表8:血液検査2
第569病日の骨髄細胞診では正~過形成髄で、赤芽球系過形成でした。顆粒球系と巨核球系細胞は正形成で、形態異常や芽球増加などは認めませんでした(図7)。
図7:第569病日骨髄細胞診
骨髄細胞の百分比では赤芽球系が増加しておりME比は0.64と低下し、顆粒球系と赤芽球系細胞とも分化成熟に異常は認められませんでした(表9)。
表9:骨髄細胞百分比%
以上の所見よりNRIMAと診断しCyAとAZAによる治療を開始しました。
第587病日に子宮卵巣摘出と脾臓摘出を行い、病理検査では脾臓は髄外造血と結節性過形成、卵巣は多発性嚢胞と診断されました(図8)。
図8:脾臓摘出
その後の経過は良好で第683病日には寛解し、AZAとCyAを漸減し、第911病日にAZAを休薬し、CyAは漸減し 1 mg/kg Q3D(3日毎)で継続しました。その後糖尿病治療と定期検診を行い良好に経過していましたが、第2717病日(NRIMA診断から2138日)に突然状態が悪化し死亡したとの連絡を受けました。剖検は出来ませんでした(図9)。
図9:治療と経過
本症例は糖尿病でPDNの使用が出来なくなったにもかかわらず、AZPとCyAにより比較的良好な反応が得られ、糖尿病も早期にコントロールすることができました。NRIMAはPRCA寛解から1年以上経過しているため、新規再発かPRCAの部分的再発か判断が難しいと思われます。一般に免疫介在性貧血の治療は免疫抑制療法が中心で、寛解後も長期間治療が必要であるといわれています。本症例ではNRIMA発症後も再発予防のため低用量のCyAで維持療法を行い、5年間以上維持させることが可能でした。しかし寛解後の維持療法の期間や薬剤、薬用量、治療中止の基準、長期免疫抑制剤使用による副作用などに関する明確なエビデンスはほとんどありません。今後同様の疾患に関する大規模な比較研究が待ち望まれます。また糖尿病に関して初診時に肥満で高血糖があったにもかかわらず、PDN使用により顕在化させてしまったことは不注意であったと非常に反省しています。
最後に、PRCA、NRIMA、糖尿病の治療を7年間近く続けていただいた熱心な飼い主に本当に感謝いたします。
2016年2月掲載
※内容は掲載時点の知見であり、最新情報とは異なる場合もございます。
| 病院名 | 諫早ペットクリニック |
|---|---|
| 住所 | 長崎県諫早市泉町23-9 |
| TEL | 0957-27-0808 |
| 診療動物 | 犬・猫 |
| ウェブサイト | https://www.isahaya-petclinic.com/ |
地図





















