HEMATOVISION

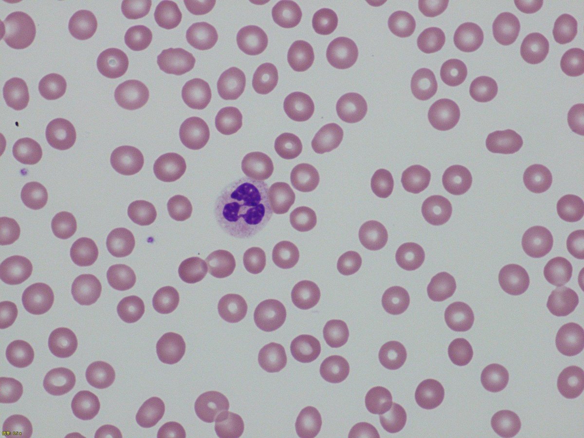
好中球

クリックで複数の写真を見ることが出来ます

  • 大きさ : 中型、12-15µm
  • N/C比= 中、0.4
  • 細胞質
    • 広さ : 広い
    • 好塩基性 : 無
    • 顆粒の数 : 多数
    • 顆粒の色 : 茶色=好中球
    • 膜 : 異常なし
    • 位置 : 中央
    • クロマチン : 粗鋼
    • 核小体 : 無
    • 膜 : 異常なし
  • 基準値 : 1.5-7 x 109/L
  • 細胞学的・臨床病理学的所見

    2-5分葉し、核小体はみられず、濃縮したクロマチンの核を有する細胞。大きさは平均的な細胞で細胞質は好中性顆粒で覆われている。

    PNN白血球増加:感染による反応、顆粒球の増加、コルチコステロイド剤による治療後、喫煙

    妊娠

    非常にまれな好中球性白血病(除外診断)

自動血球計数装置 Yumizen H1500のご紹介

オンラインデモのご紹介

​​​​​​​

血液塗抹標本作製方法のご紹介

HORIBAグループ企業情報