人医療では、周術期に低血糖になると、全身炎症反応の増大、神経低糖症(低血糖による中枢神経能低下)、生体ストレスに対する副腎皮質ホルモン応答の抑制、交感神経系反射の抑制、脳血管拡張などを引き起こし、予後が悪化することが報告されています。また、高血糖になると浸透圧利尿をおこし細胞内脱水となる、蛋白の糖化、白血球機能障害による免疫低下、サイトカイン産生増加による炎症の増悪、浸透圧利尿による循環血液量の減少、血管内皮細胞障害、血液凝固系の障害、赤血球増殖能の障害などの原因となり、完全にメカニズムが解明されているわけではありませんが、術後48時間以内の血糖値が200 mg/dl以上の群は200 mg/dl以下の群に比べて手術部位感染症の発生頻度が有意に高かったと報告されています。そのため、周術期の血糖管理は重要だと認識されています。
動物医療において、周術期血糖管理の指針などは出ておりませんが、人医療と同様に周術期における血糖管理が重要であることは想像に難くありません。健康な動物に対する外科手術では、周術期の血糖値が問題となることは少ないと考えられますが、門脈体循環シャント、肝臓腫瘍(特に肝細胞癌)、肝機能の低下(80 %以上)が考慮される症例、その他、糖尿病の症例、内分泌疾患(副腎皮質機能亢進症、先端肥大症など)、種々の腫瘍疾患(インスリノーマ、平滑筋肉腫、血管肉腫など)などでは周術期の低血糖あるいは高血糖が問題となりやすいため、注意が必要です(表1)。なかでも、血糖調節の中でも重要な役割を果たす肝臓の機能低下が考慮される場合の外科手術では、周術期の血糖測定および測定値に基づいた血糖管理が極めて重要です。これらの疾患に罹患している症例では、嘔吐や食欲不振を示していることも多く、その場合は栄養状態が悪いことが考えられます。さらに、手術前には絶食することが多いために、より低血糖が助長されることになります。本稿では、門脈体循環シャント症例と肝細胞癌症例の周術期血糖管理について紹介したいと思います。
表1
門脈体循環シャントは、消化管から吸収された栄養およびインスリンが肝臓を迂回するために、肝臓でのグリコーゲン合成が低下するとともにインスリンの不活化が減少するために、低血糖になります。およそ30〜40 %の症例で血糖値が参照範囲以下となり、10 %の症例が60 mg/dl以下の低血糖を示すと報告されています。
また、手術中の低血糖が術後の発作(結紮後発作症候群と呼ばれることもあります)に関連する可能性についても指摘されているため特に注意が必要です。
ヨークシャーテリア、1歳8ヶ月、避妊雌、体重2.1 kg(BCS:2/5)です(図1)。近医での血液検査結果(アンモニアおよび総胆汁酸の高値)から門脈シャントが疑われたため、本学獣医臨床センターを紹介受診されました。初診時の血液検査(表2)では、総コレステロール、BUNの低下、低血糖、低アルブミン・タンパク血症、NH3およびALPの上昇が認められました。初診時のX線検査では、小肝症が認められました。CT検査を実施したところ、肝外門脈体循環シャント(門脈—左胃静脈—後大静脈シャント)(図2)と診断されました。画像診断では、肝内門脈枝の発達がやや悪いことと、シャント血管が比較的太く短いことからシャント率が高いことが推測されたため、部分結紮を視野に入れた手術計画となりました。すでに低血糖が存在することから、術前から門脈体循環シャントに対する内科的管理を徹底するとともに、周術期の低血糖に注意することとしました。犬での周術期血糖値について、明確な基準は定まっていないために、人の胸部手術時の周術期血糖管理指針を参考に140〜180 mg/dlを1つの目安とし設定しました。
一方で、この症例はこれまで継続的な低血糖状態で生活していることから、高血糖に対する耐性が低下していることも想像されました。そのため、低血糖に注意しながら高血糖にも注意して周術期管理を実施することにしました。血糖値をモニターするための術中の採血は後肢の動脈に留置したカテーテルから行う計画としました。
手術当日の血糖値は60 mg/dlでしたので、術前に7.5 %糖加乳酸リンゲル液の静脈点滴により血糖値を補正しました。手術直前の血糖値は126 mg/dlでした。手術開始時はグルコース添加酢酸リンゲル液(10 ml/kg/hr、グルコース流量は0.3 g/kg/hr)にて輸液を行い、血糖値をモニターしながらグルコースの添加量を調整することとしました。
症例に全身麻酔を施した後、上腹部を正中切開し、腸間膜静脈にカニュレーション後、門脈圧の測定および門脈造影(図3)を行いました。シャント血管を同定し(図4)、仮結紮後に門脈圧測定および門脈造影(図5)を実施したところ、門脈圧の上昇が認められたため、門脈圧が過度に上昇しない程度に部分結紮にとどめ、手術を終了しました。手術時間は約60分でした。これらの手術中、約20分おきに血糖値をモニタリングしました(図6)。手術開始20分後で血糖値が158 mg/dlに上昇していましたので、グルコースの流量を0.1 g/kg/hrに減量しました。手術開始後40分では136 mg/kg/dlでしたので、この流量のまま手術終了まで維持しました。手術終了後も血糖値をモニターしながら、輸液中のグルコース濃度を調節して維持しました(図7)。
図1 症例の外観
表2
図2 CT検査(3D再構成像)
黄色→シャント血管
赤色→門脈幹
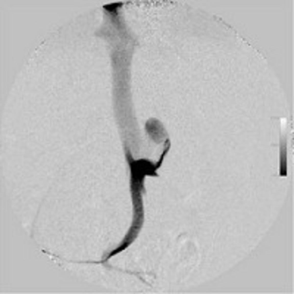
図3 門脈造影像(DSA)
図4 手術中にシャント血管(→)を確認しているところ
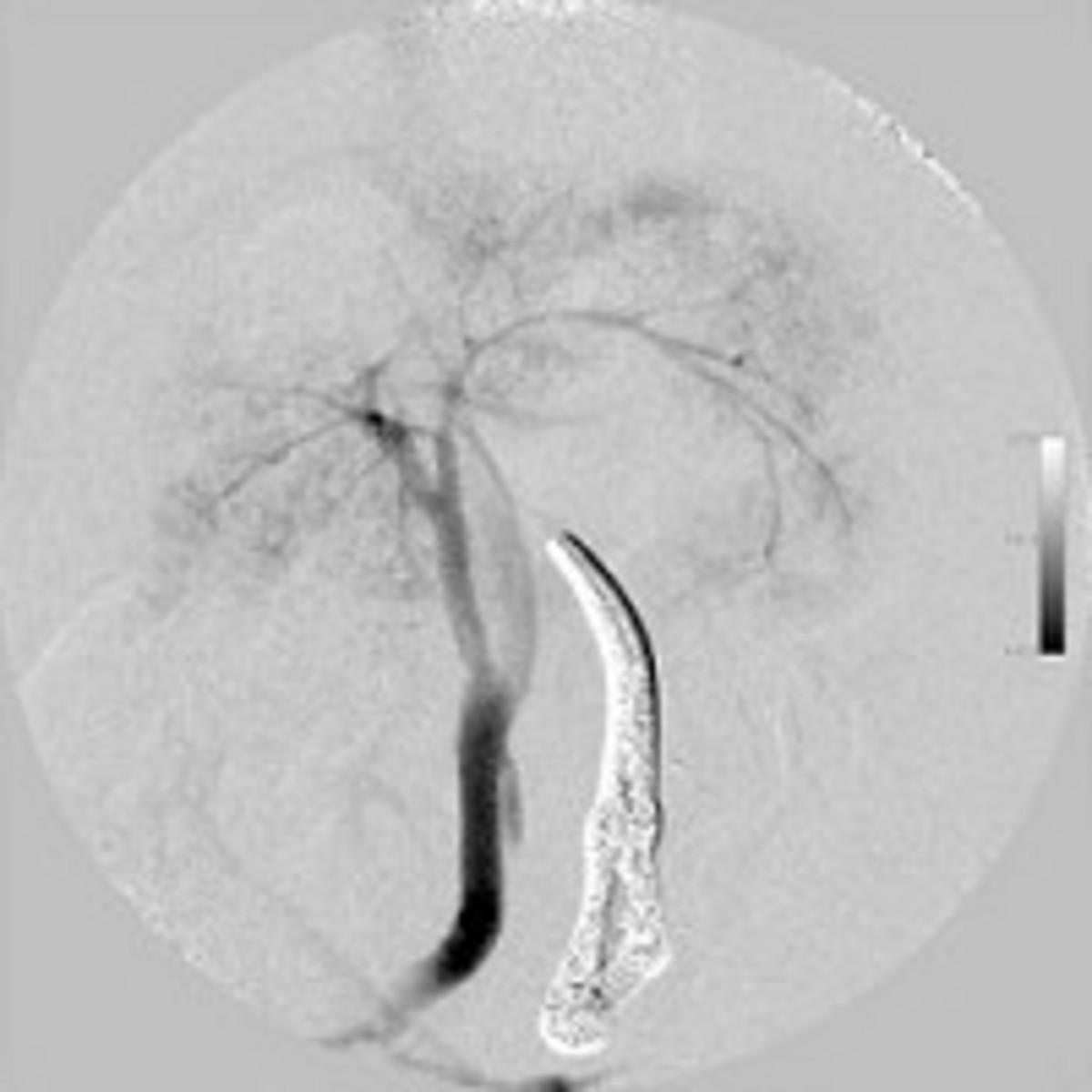
図5 仮結紮後の門脈造影像(DSA)肝内門脈枝の発達が悪い
図6 手術中に血糖値を測定している様子
図7 周術期の血糖値の変化
ある種の肝細胞癌では、腫瘍自体での糖利用の促進と腫瘍から分泌されるインスリン様成長因子(インスリンに類似した生理作用を持つ)によって低血糖を示します。
ヨークシャーテリア、未去勢雄、12歳、体重3.4 kg(BCS3/5)です(図8)。両眼の羞明を主訴に近医を受診し、その時の検査にて肝臓に腫瘤が見つかったため、肝臓腫瘤に対する精査および治療を求めて紹介受診しました。初診時の血液検査では、低血糖およびGPTの上昇が認められました(表3)。X線検査および超音波検査にて肝右葉に腫瘤が認められたため(図9)、CT検査を実施しました。CT検査では肝右葉から突出し、周囲肝組織と比較して低吸収を示す腫瘤(6.0×6.0×7.9 cm)が孤立性に認められました(図10)。これら検査所見や造影剤による染色性から肝右葉に主座する孤立性の肝細胞癌が疑われました。また、肝腫瘍以外に低血糖の原因となる異常が認められなかったため、低血糖は腫瘍随伴症候群であることが疑われました。肝腫瘤は外科的に完全切除が可能と考えられたため、開腹下で切除する計画としました。周術期の血糖管理については、先の門脈体循環シャントの症例とほぼ同様に計画しましたが、本症例では腫瘍切除後、腫瘍からのインスリン様成長因子の分泌がなくなることから、高血糖になることが想定されましたので、腫瘍切除後は血糖値をモニターしながらグルコースの輸液を減じることを予定しました。
手術当日の血糖値は33 mg/dlと重度低血糖でしたので、20 %グルコースのボーラス投与ならびに術前に7.5 %糖加乳酸リンゲル液の静脈点滴により血糖値を補正しました。手術直前の血糖値は117 mg/dlでした。手術開始時はグルコース添加酢酸リンゲル液(10 ml/kg/hr、グルコース流量は0.3 g/kg/hr)にて輸液を行い、血糖値をモニターしながらグルコースの添加量を調整することとしました。
症例に全身麻酔を施した後、上腹部を正中切開し、腫瘍を露出しました(図11)。サージカルマージンを確保し、肝右葉の部分切除を行うことで腫瘍を切除しました。手術時間はおよそ60分でした。腫瘍切除後は血糖値が上昇しましたので、グルコース流量を0.1 g/kg/hrに減じて維持しました。術後も同様に血糖値をモニタリングしながら、グルコース流量を調整し維持しました(図12)。退院後、低血糖は消失しました。切除した腫瘤は病理組織学的に肝細胞癌と診断され、腫瘍切除後は低血糖が改善しましたので、術前に認められた低血糖は腫瘍からのインスリン様成長因子が原因であったと推察されます。
図8 症例の外観
表3
図9 単純X線検査 ラテラル像
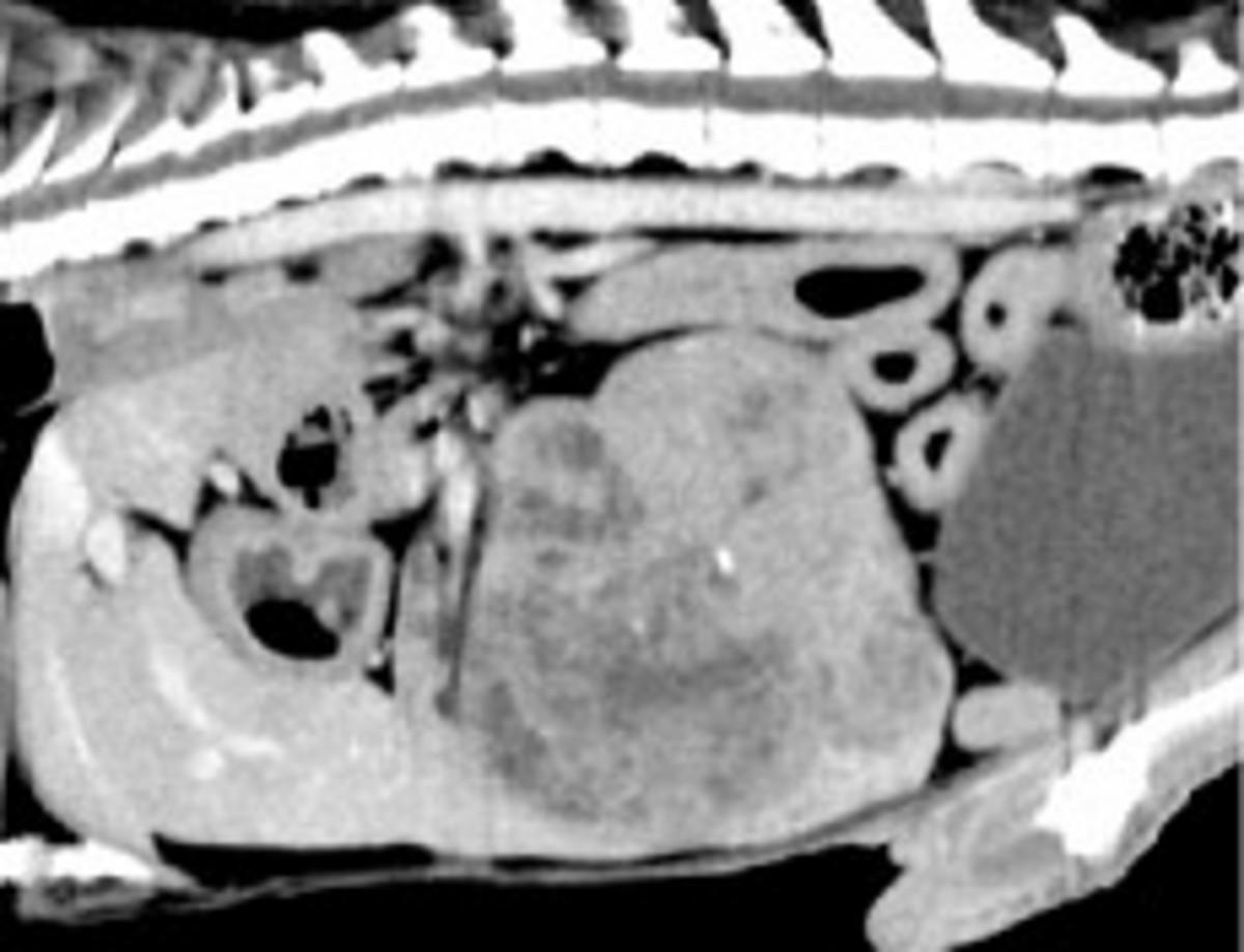
図10 造影CT検査 矢状断像
図11 肝臓腫瘤
図12 周術期の血糖値の変化
門脈体循環シャントの症例やある種の肝細胞癌の症例では、前述したように手術中の低血糖リスクは高いと考えらます。一方で、手術中あるいは手術直後は、外科的侵襲が加わることにより交感神経系が活性化され、カテコールアミンや各種コルチコイド、成長ホルモン、グルカゴンなどの分泌が亢進されます。これらのホルモンは抗インスリン作用を持つと共に、インスリン分泌能の低下・インスリン抵抗性の増大・糖新生とグリコーゲン分解が亢進し高血糖の原因となります。これらを考慮すると本症例のように肝機能が低下している症例において、手術中の血糖値の変化を術前に完全に予想することは困難です。そのため、周術期において血糖値をモニターすることにより、輸液中のグルコース濃度を調節することが重要と考えられます。ご紹介した症例では、いずれも術中、若干、高血糖状態となりましたが、手術中に血糖値をモニターし、グルコース流量を調整することで是正することが可能であり、安全に手術が終えられたと考えられます。
2015年1月掲載
※内容は掲載時点の知見であり、最新情報とは異なる場合もございます。
| 施設名 | 大阪府立大学大学院 生命環境科学研究科 獣医学専攻 臨床科学分野 高度医療学講座 獣医外科学教室 准教授 秋吉 秀保先生 |
|---|---|
| 住所 | 大阪府泉佐野市りんくう往来北1-58 |
| TEL | 072-463-5476 |
地図















