HEMATOVISION

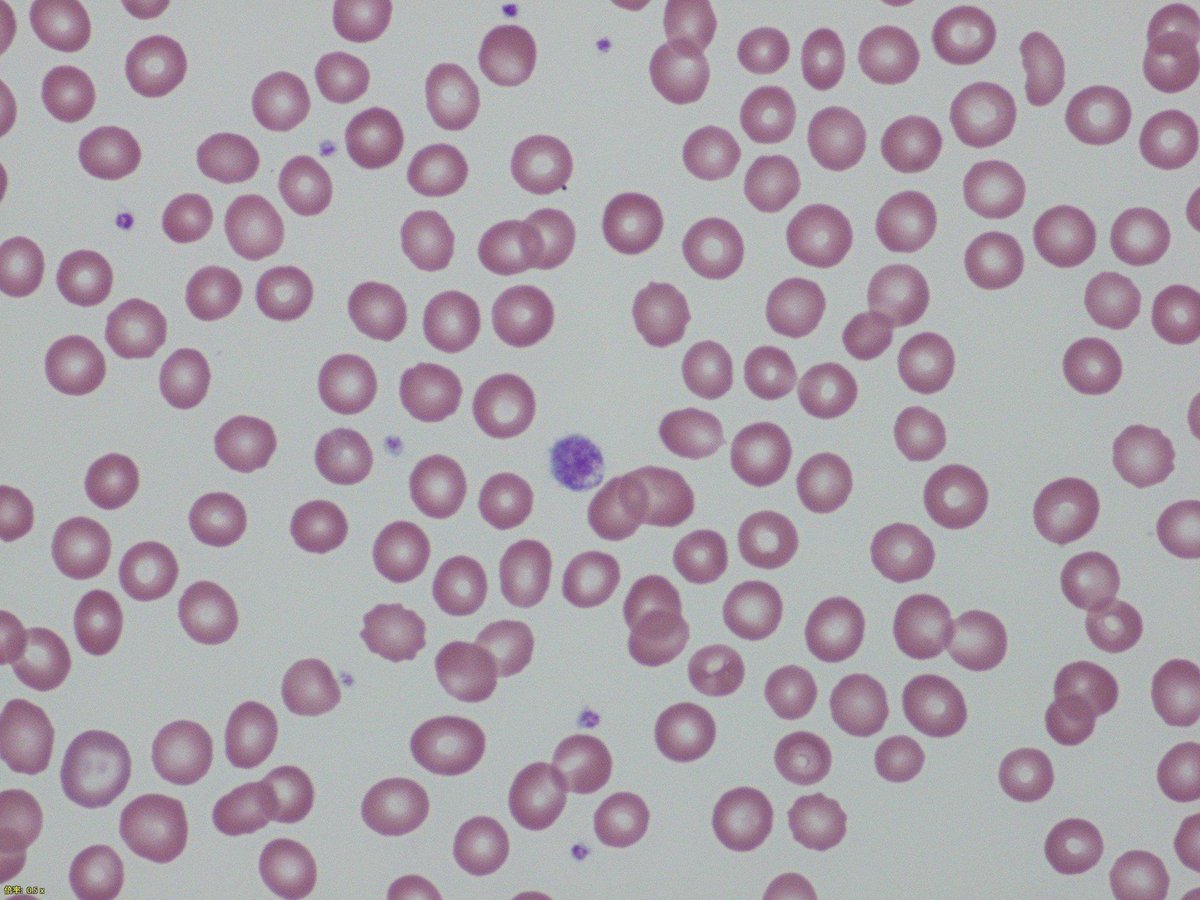
大型血小板

クリックで複数の写真を見ることが出来ます

  • 大きさ : 8 µmより大
  • 基準値 : 血液中にみられない
  • 細胞学的・臨床病理学的所見

    ベロナールスーリエ症候群、家族性血小板減少症、骨髄増加症、あるいは骨髄不全症、ビタミンB12欠乏症、ビタミンB9欠乏症にみられる。

自動血球計数装置 Yumizen H1500のご紹介

オンラインデモのご紹介

​​​​​​​

血液塗抹標本作製方法のご紹介

HORIBAグループ企業情報