HEMATOVISION

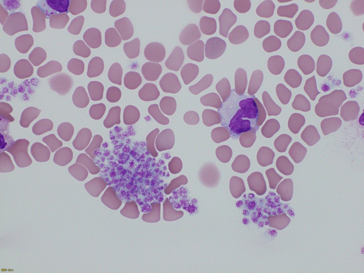
血小板凝集

クリックで複数の写真を見ることが出来ます

  • 大きさ : 様々な
  • 基準値 :
  • 細胞学的・臨床病理学的所見

    血栓形成や止血剤治療の最初に起こるのが血小板凝集。この現象は生体内でみられるが試験管内でもみられる。

自動血球計数装置 Yumizen H1500のご紹介

オンラインデモのご紹介

​​​​​​​

血液塗抹標本作製方法のご紹介

HORIBAグループ企業情報