Search
English
HORIBAグループ企業情報
Japan
HORIBAについて
HORIBAの思い
HORIBA for Healthcare
Corporate
HORIBA for Healthcare(Global)
HORIBA Veterinary(JPN)
HORIBA WEBサイトTOP(JPN)
製品情報
クリニック
採血の方法と検査の注意点
検査によって異なる採血管 “抗凝固剤” の種類と用途
検査値に影響を与える “変動要因” について
微量採血の方法
病院・検査センター
【登録無料】情報配信サービス HORIBA通信 for Healthcare
製品紹介
学術資料
血液塗抹標本の作製方法
症例集
血液をもっとよく知ろう
測定原理
論文、学会/セミナー発表資料
血液細胞アトラスサイト
ユーザーサポート
サービスのご紹介
精度管理サイトQCP
電子添文書
ユーザー様紹介
イベント情報
歯科
歯科症例
説明資料
ユーザー様向け資料
動物病院
ユーザサポート
Remote-connected support - Yumicare
精度管理(QCP)
サービスサポート
電子添文掲載一覧
医用製品セキュリティ活動について
各種資料
論文、学会/セミナー発表資料
採血の方法と検査の注意点
血液をもっとよく知ろう
診療科別/事例別製品紹介
オンラインデモのご案内
News
展示会/イベント情報
ニュース/トピックス
国・地域
変更
お問い合わせ
拠点情報
HEMATOVISION
HORIBA
»
ヘルスケア
»
各種資料
»
Hematovision
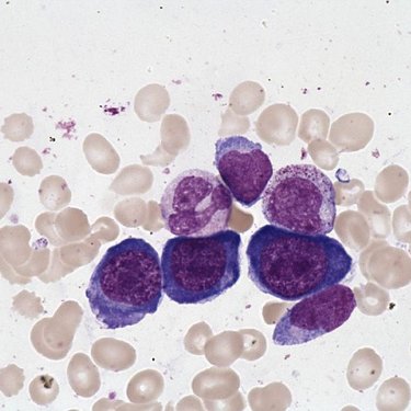
他の赤芽球
巨赤芽球性貧血にみられる赤芽球
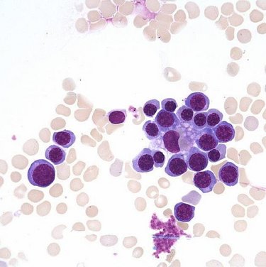
赤芽球島