HEMATOVISION

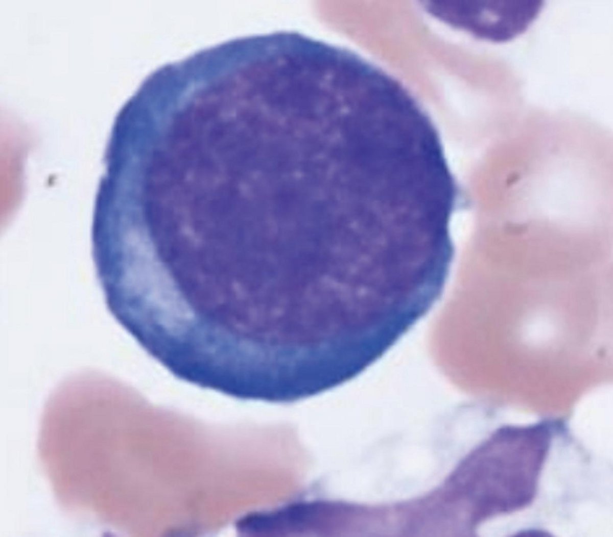
好塩基性赤芽球

一般社団法人日本検査血液学会
日本検査血液学会標準会委員会 ; 細胞分化連続画像より抜粋

  • 大きさ : 15-18μm
  • 基準値 : 血液中にみられない
  • 細胞学的・臨床病理学的所見

    大きさは15-18μm、核はまるく、クロマチンは凝縮、濃い青色の細胞質。

自動血球計数装置 Yumizen H1500のご紹介

オンラインデモのご紹介

​​​​​​​

血液塗抹標本作製方法のご紹介

HORIBAグループ企業情報