HEMATOVISION

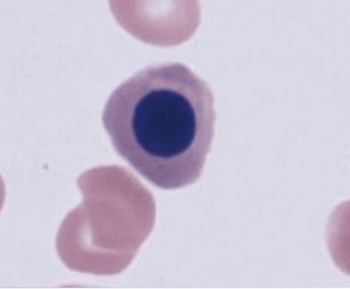
正染性赤芽球

一般社団法人日本検査血液学会
日本検査血液学会標準会委員会 ; 細胞分化連続画像より抜粋

  • 大きさ : 8-10µm
  • 基準値 : 血液中ではまれ
  • 細胞学的・臨床病理学的所見

    小さな丸い核、濃染したクロマチンの大きさ10μm程度の細胞。細胞質は成熟赤血球と同じ色

    骨髄線維症において赤血球系細胞の増加時にみられる。

    新生児の血液にみられる。

自動血球計数装置 Yumizen H1500のご紹介

オンラインデモのご紹介

​​​​​​​

血液塗抹標本作製方法のご紹介

HORIBAグループ企業情報