HEMATOVISION

多染性赤芽球

一般社団法人日本検査血液学会
日本検査血液学会標準会委員会 ; 細胞分化連続画像より抜粋

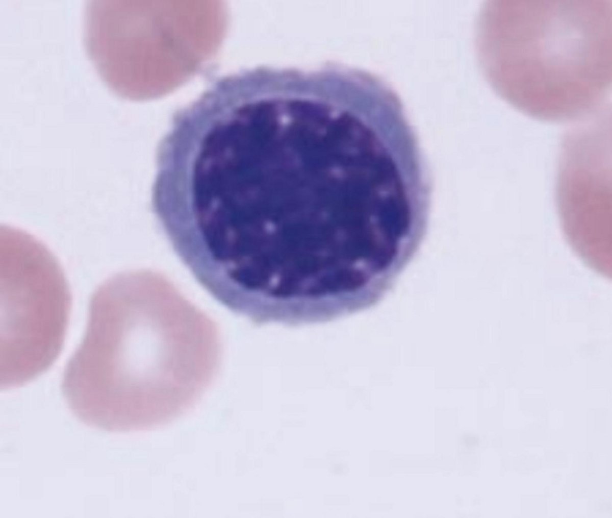
  • 大きさ : 12-18μm
  • 基準値 : 血液中にみられない
  • 細胞学的・臨床病理学的所見

    核は丸く、やや灰色がかった細胞質、直径10-15μmの中型細胞。
    ヘモグロビン合成に伴い、細胞質はRNAが減少するにつれて青色から灰色がかった色の変化する。クロマチンは粗荒である。

自動血球計数装置 Yumizen H1500のご紹介

オンラインデモのご紹介

​​​​​​​

血液塗抹標本作製方法のご紹介

HORIBAグループ企業情報