HEMATOVISION

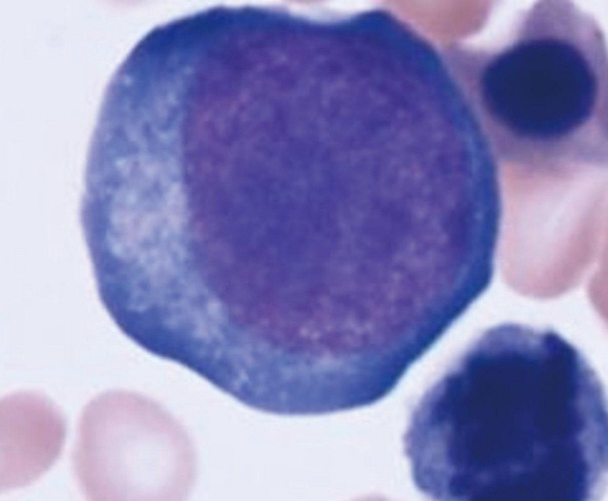
前赤芽球

一般社団法人日本検査血液学会
日本検査血液学会標準会委員会 ; 細胞分化連続画像より抜粋

  • 大きさ : 20-25 µm
  • 基準値 : 血液中にみられない
  • 細胞学的・臨床病理学的所見

    クロマチン構造は顆粒状、大きさ20μmの円形細胞。細胞質は全体に好塩基性が強い。N/Cは高い。

自動血球計数装置 Yumizen H1500のご紹介

オンラインデモのご紹介

​​​​​​​

血液塗抹標本作製方法のご紹介

HORIBAグループ企業情報