HEMATOVISION

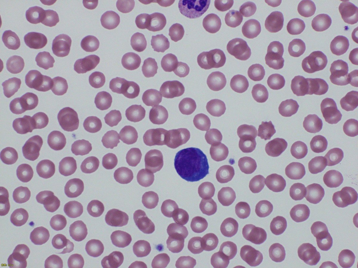
反応性リンパ球

クリックで複数の写真を見ることが出来ます

  • 大きさ : 中、12-15µm
  • N/C比= 非常に高
  • 細胞質
    • 広さ : 広い
    • 好塩基性 : 強い
    • 顆粒の数 : 無
    • 顆粒の色 : 該当なし
    • 膜 : 少し不整
    • 位置 : 偏在
    • クロマチン : レース状
    • 核小体 : 有
    • 膜 : 少し不整
  • 基準値 : 通常は血液中にみられない
  • 細胞学的・臨床病理学的所見

    クロマチンの濃染した核小体(まれに超大型細胞にみられる)があり、細胞質は全体が青い、あるいは一部周辺と境界が明らかな部分がみられる中型細胞

    反応性リンパ球。IM、CMV、トキソプラズマ症、感染初期のHIV、薬剤によって引き起こされる単核球症候群。リンパ球は50%以上あり、そのうち好塩基性の強いリンパ球が10%以上。まれに形質細胞あり。

自動血球計数装置 Yumizen H1500のご紹介

オンラインデモのご紹介

​​​​​​​

血液塗抹標本作製方法のご紹介

HORIBAグループ企業情報