HEMATOVISION

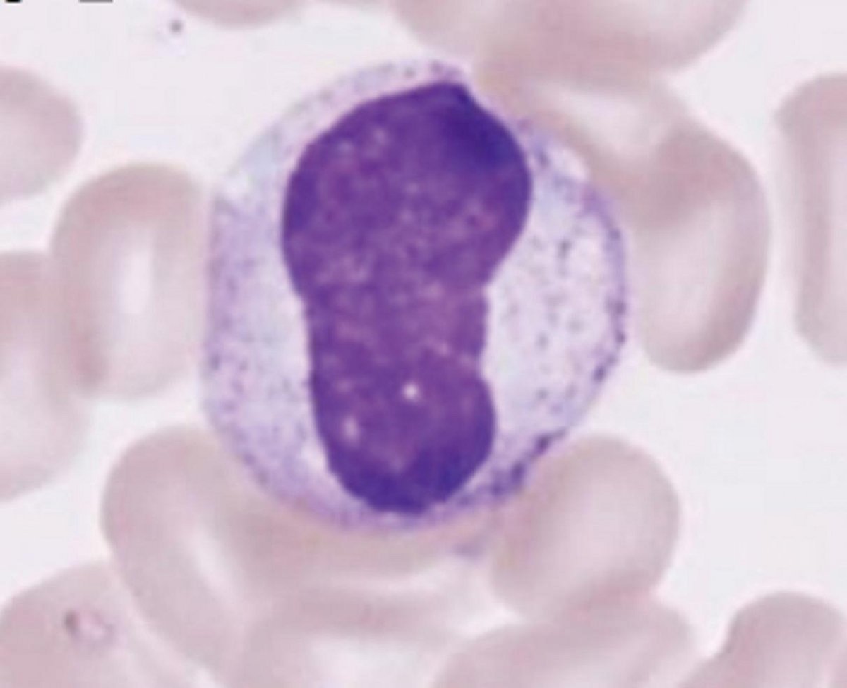
後骨髄球

一般社団法人日本検査血液学会
日本検査血液学会標準会委員会 ; 細胞分化連続画像より抜粋

  • 大きさ : 12-18 µm
  • N/C比= 低、=0.2-0.4
  • 細胞質
    • 広さ : 広い
    • 好塩基性 : 無
    • 顆粒の数 : 多数
    • 顆粒の色 : 茶色=好中球
    • 膜 : 異常なし
    • 位置:陥凹を認める、長径と短径の比3:1未満
    • クロマチン : 粗剛、一部塊状
    • 核小体 : 無
    • 膜 : 異常なし
  • 基準値 : 末梢血液中にみられない
  • 細胞学的・臨床病理学的所見

    凹面の核(核幅>1/3 )で核が濃縮している大型の細胞。薄い青色からピンク色の細胞質に、多くの好中性顆粒がみられる。ゴルジ野はみられない。

    骨髄産生能亢進時に血中にみられる。

    血液疾患:慢性の骨髄性白血病+++、骨髄線維症(赤血球系細胞増加症)

    反応的増加:重症感染、G-CSF治療による顆粒球の再生

自動血球計数装置 Yumizen H1500のご紹介

オンラインデモのご紹介

​​​​​​​

血液塗抹標本作製方法のご紹介

HORIBAグループ企業情報