一般社団法人日本検査血液学会
日本検査血液学会標準会委員会 ; 細胞分化連続画像より抜粋
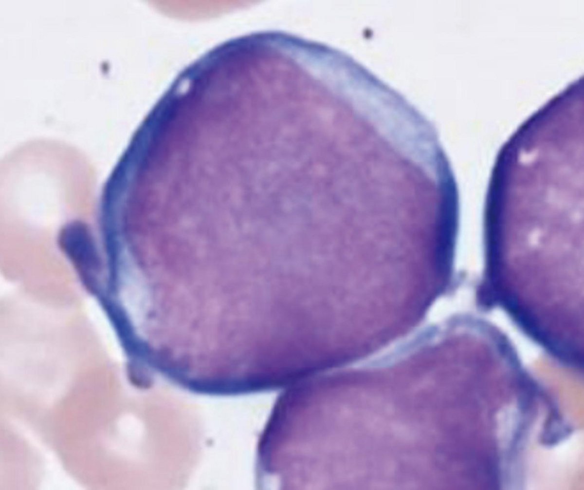
1-3個の核小体がみられ、繊細なクロマチン構造の核を持つ大型細胞。細胞質にアズール顆粒はほとんどみられないが、たまにはっきりとみえるのもある。これらの細胞は一つの系統の細胞と分類される。
アウエル小体が存在する。WHO分類では芽球が20%以上と規定され、MDSのRAEB-tの病型は廃止となりAML、あるいは骨髄異形成関連の変化を有するAMLと分類される。
急性骨髄性白血病の芽球は骨髄細胞の増加、特にCML、反応性の骨髄細胞の増加あるいは顆粒球の増加と関連している。
