HEMATOVISION

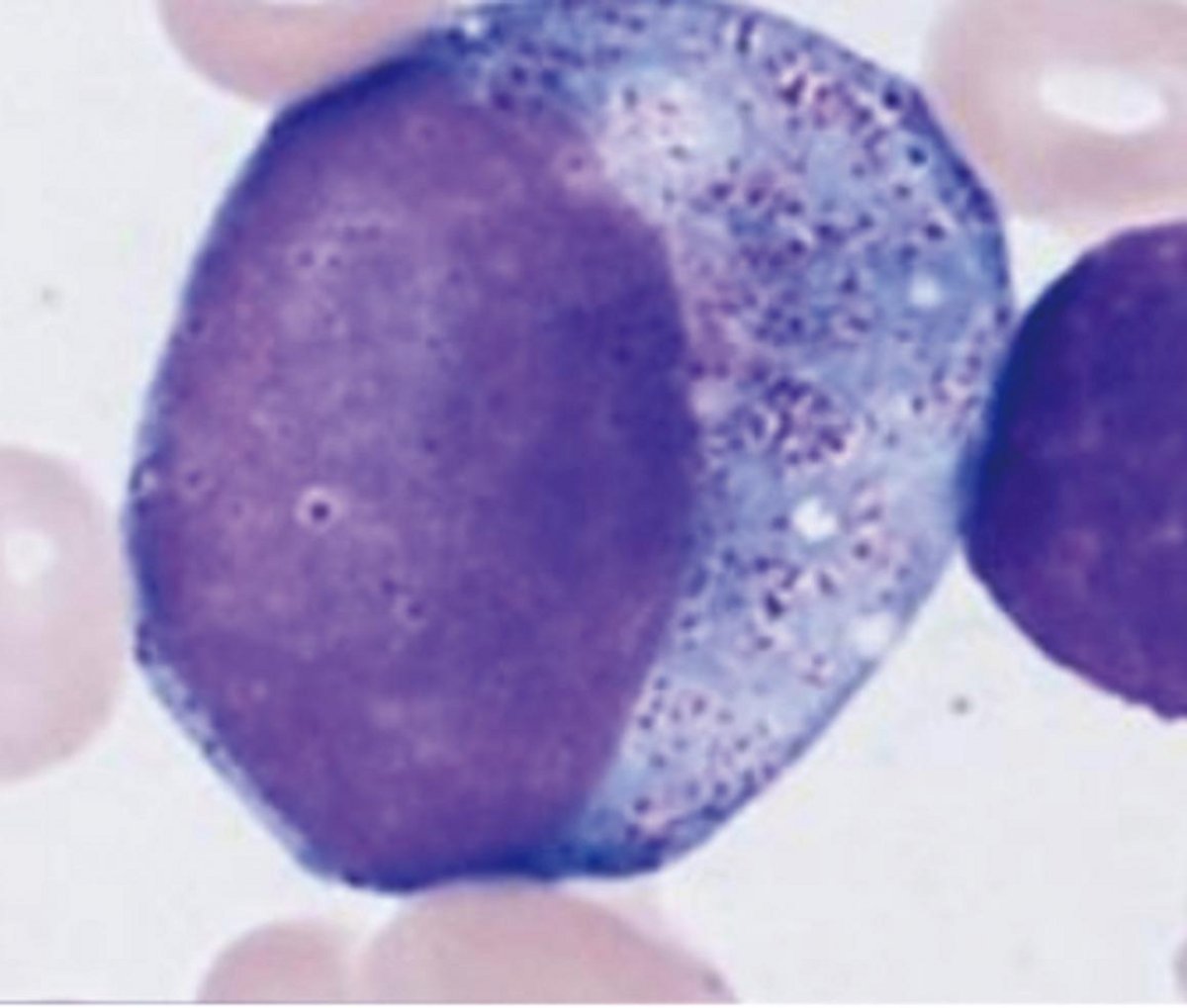
前骨髄球

一般社団法人日本検査血液学会
日本検査血液学会標準会委員会 ; 細胞分化連続画像より抜粋

  • 大きさ : 大型、15-20µm
  • N/C比= 中、0.5-0.7
  • 細胞質
    • 広さ : 広い
    • 好塩基性 : 強い
    • 顆粒の数 : 多数
    • 顆粒の色 : 赤色=アズール
    • 膜 : 異常なし
    • 位置 : 偏在
    • クロマチン : 繊細、やや粗鋼
    • 核小体 : 認められることが多い
    • 膜 : 異常なし
  • 基準値 : 末梢血液中にみられない、骨髄血に非常にまれにみられる
  • 細胞学的・臨床病理学的所見

    偏在した繊細なクロマチンの核、核小体のある大型細胞。細胞質は濃青色で、核周明庭がみられ、アズール顆粒に覆われている。また、アウエル小体はみられない。

    CMLのように骨髄産生能力の亢進時にみられる。

    薬剤による好中球減少の場合に、骨髄での顆粒球の成熟障害によって前骨髄球が増加することもある。

自動血球計数装置 Yumizen H1500のご紹介

オンラインデモのご紹介

​​​​​​​

血液塗抹標本作製方法のご紹介

HORIBAグループ企業情報