HEMATOVISION

濾胞性リンパ腫

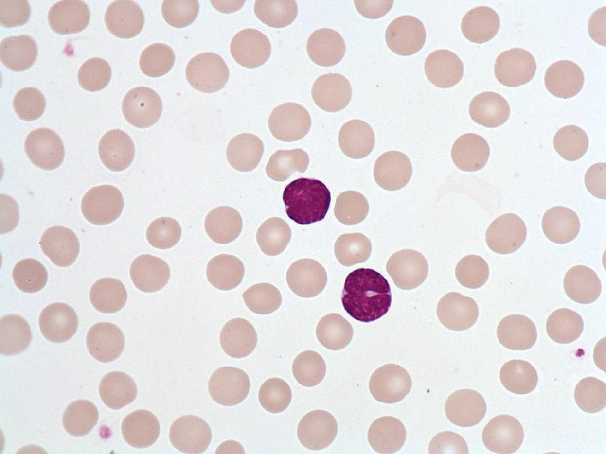
Centrocyte
  • 大きさ : 8μm
  • N/C比= 非常に高、1程度
  • 細胞質
    • 広さ : 狭い
    • 好塩基性 : 少し強い
    • 顆粒の数 : 無
    • 顆粒の色 : 該当なし
    • 膜 : 異常なし
    • 位置 : 中央
    • クロマチン : 濃染
    • 核小体 : 無
    • 膜 : 異常なし
  • 基準値 : 血液中にみられない
  • 細胞学的・臨床病理学的所見

    形態学に依拠していたFAB分類ではなく、WHO分類では臨床情報と細胞生物学的情報(表面マーカー、染色体、遺伝)を用いて分類されている。

自動血球計数装置 Yumizen H1500のご紹介

オンラインデモのご紹介

​​​​​​​

血液塗抹標本作製方法のご紹介

HORIBAグループ企業情報