HEMATOVISION

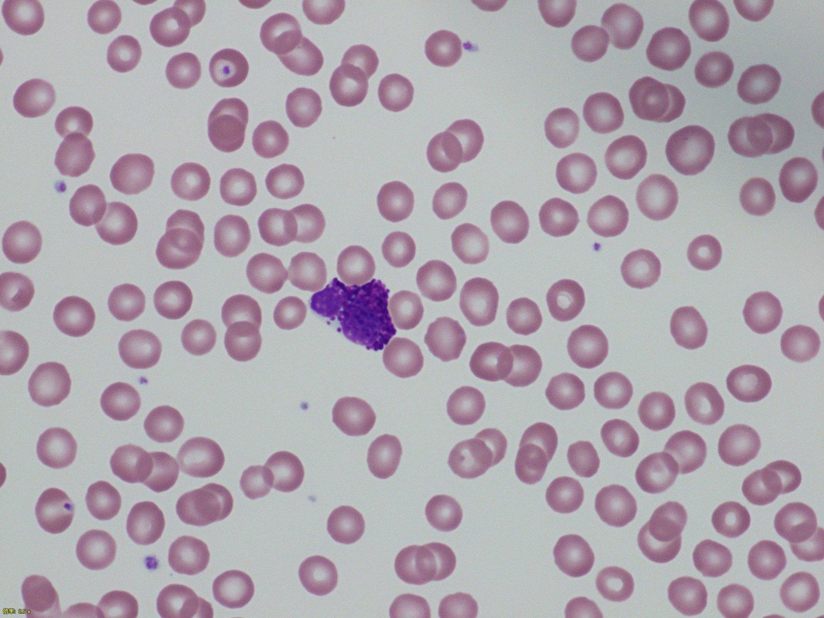
好塩基球

クリックで複数の写真を見ることが出来ます

  • 大きさ : 中、12-15µm
  • N/C比= 中、0.4
  • 細胞質
    • 広さ : 広い
    • 好塩基性 : 無
    • 顆粒の数 : 多数
    • 顆粒の色 : 黒-暗紫色=好塩基球
    • 膜 : 異常なし
    • 位置 : 偏在
    • クロマチン : 濃染
    • 核小体 : 無
    • 膜 : 異常なし
  • 基準値 : 0.2 x 109/L未満
  • 細胞学的・臨床病理学的所見

    核小体が無く、核は分葉し、核クロマチンは濃縮し、細胞質は大小不揃いな塩基性の顆粒に覆われている。大きさは平均的で丸い細胞。

    慢性骨髄性白血病では好塩基球の増加がみられる。

自動血球計数装置 Yumizen H1500のご紹介

オンラインデモのご紹介

​​​​​​​

血液塗抹標本作製方法のご紹介

HORIBAグループ企業情報