
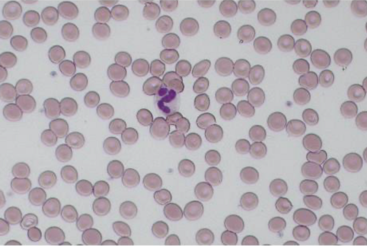
血液塗抹標本の観察は、血球の数的・形態学的な異常を目視によって確認することができるため、適切な塗抹標本では臨床的意義の高い結果が得られます。
しかし、不適切な塗抹標本では得られる情報量が減少し、時には誤った診断に繋がる可能性があるため、血液塗抹標本作製・染色の手順を正しく理解する必要があります。
血液塗抹標本作製の手順を正しく理解すべく、観察の目的によって異なる血液塗抹標本の2種類の説明と作製における準備物をご紹介いたします。
適切な血液塗抹標本の作製方法をスライド写真と共にご紹介いたします。スライドを引くときの重要ポイントもご覧いただけます。
良好な標本といくつかの標本失敗例を参照し、原因と対策についてご紹介いたします。
血液塗抹標本を用いた血液形態検査は、疾患の調査のために必要な検査です。
血液検査の基本である「血液塗抹標本の作製方法」を動画でご紹介いたします。
「血液塗抹標本の作製方法」の動画撮影には、湯浅 宗一 先生にご協力いただきました。
普段当たり前に行っている塗抹標本の作製・染色・鏡検などについて、今一度見直してみませんか?当たり前になり過ぎて見過ごしていることがありませんか?
例えば、無顆粒あるいは顆粒の減少、不均一、核の異常を確認することがMDSの正しい診断につながることが知られています。このためには、顆粒と核および細胞質が適度に染色されている標本で鏡検することが何よりも重要です。バランスよく染色された標本で観察する事によって初めて、これらの微妙な変化が正しく確認できるのです。
「きれいに染色されているはず」ではなく「染色されている」を意識して、日常の検査業務に取り組むお手伝いをさせていただきます。何か、新しい発見があるかもしれません。
湯浅宗一
株式会社堀場製作所
バイオヘルスケア本部学術顧問
1973年 京都府立医科大学附属病院 臨床検査部 入職
1995年 緒方富雄賞受賞
2000年 京都府立医科大学附属病院 臨床検査部 技師長
2000年 文部大臣表彰
2011年 京都府立医科大学附属病院 臨床検査部 退職
2012年 株式会社堀場製作所 在籍中
2012年 京都府立医科大学 先端検査機器開発講座 所属
2015年 瑞宝双光章受章

